
جرمگیری لثه
جرمگیری لثه یکی از مؤثرترین و علمیترین روشهای پیشگیرانه در دندانپزشکی است که نقش مهمی در سلامت دهان، جلوگیری از التهاب لثه و حفظ زیبایی لبخند دارد.
بسیاری از افراد تنها زمانی به فکر این درمان میافتند که با بوی بد دهان، خونریزی لثه یا درد هنگام مسواک زدن روبهرو میشوند، در حالی که این نشانهها هشدار میدهند پلاک باکتریایی و جرمهای زیر لثه در حال تخریب آرام بافتهای حمایتکنندهی دندان هستند.
شاید فکر کنید جرمگیری لثه دردناک است یا باعث حساسیت دندان میشود، اما واقعیت برعکس است؛ این روش با استفاده از لیزر دندانی یا دستگاه اولتراسونیک بدون درد، پلاکها و رسوبات سخت را پاکسازی کرده و از تحلیل استخوان فک و عفونت لثه جلوگیری میکند.
اگر مدتی است هنگام حرف زدن متوجه بوی ناخوشایند دهان میشوید یا حس میکنید دندانهایتان زرد و سنگین شدهاند، زمان آن رسیده لثههایتان را احیا کنید. در ادامه توضیح میدهیم جرمگیری لثه چیست، چگونه انجام میشود، چه مزایا و عوارضی دارد و چرا انجام منظم آن هر ۶ ماه یکبار، کلید پیشگیری از بیماریهای لثه و پوسیدگی دندان است.
اگر میخواهید بدانید چرا بعضی پاکسازیها تنها ظاهر دندان را صیقل میدهند و ریشهی مشکل را نادیده میگیرند، بخش تخصصی دربارهٔ جرمگیری دندان را هم ببینید.
توجه: در آن صفحه یک «اشتباه ساده اما مهم» را توضیح دادهایم که اغلب در مقالات گفته نمیشود — اگر نگران بوی دهان، التهاب یا تکرار جرم هستید، حتماً آن را بخوانید.
جرمگیری لثه چیست؟
جرمگیری لثه روشی تخصصی برای پاکسازی پلاک دندانی، جرم زیر لثه و رسوبات سخت است که با مسواک یا نخ دندان از بین نمیروند. وقتی باکتریهای دهان روی دندان و لثه تجمع میکنند، لایهای چسبناک ایجاد میشود که در اثر گذشت زمان به جرم سخت تبدیل شده و موجب التهاب، بوی بد دهان و تحلیل لثه میشود.
در جرمگیری لثه، دندانپزشک با ابزار دستی، دستگاه اولتراسونیک یا لیزر، این رسوبات را از سطح و زیر خط لثه حذف میکند تا بافت لثه دوباره سالم و محکم شود.
تفاوت آن با جرمگیری معمولی در این است که جرمگیری دندان فقط نواحی سطحی را تمیز میکند، اما جرمگیری لثه تا عمق بافت زیر لثه نفوذ کرده و علت اصلی التهاب و عفونت لثه را برطرف میسازد. این درمان، پایهایترین اقدام برای حفظ سلامت دهان و پیشگیری از لق شدن یا پوسیدگی دندان است.
تفاوت جرمگیری لثه و جرمگیری دندان چیست؟
جرمگیری دندان بیشتر روی سطح قابلدیدن دندانها تمرکز دارد و پلاک و رسوباتی را که روی مینای دندان و بالای خط لثه جمع شدهاند، پاک میکند؛ یعنی همان جرمهای زرد و قهوهای که ظاهر لبخند را کدر میکنند.
در مقابل، جرمگیری لثه درمانی عمیقتر است که رسوبات و جرمهای زیر لثه را از ناحیهی ریشه دندان و بافت لثه برمیدارد و مستقیماً برای کنترل التهاب و عفونت لثه بهکار میرود.
در واقع، وقتی فقط جرم سطحی و رنگگرفتهی دندانها آزاردهنده است، جرمگیری دندان کافی است؛ اما اگر با خونریزی لثه، بوی بد دهان، لثهی متورم یا شروع تحلیل لثه روبهرو هستید، به جرمگیری لثه نیاز دارید تا علت اصلی مشکل در عمق بافت لثه و اطراف ریشه دندان برطرف شود.
به همین دلیل، جرمگیری لثه بیشتر جنبهی درمانی و پیشگیرانه برای بیماریهای لثه دارد، در حالیکه جرمگیری دندان عمدتاً روی پاکسازی ظاهری و حذف پلاک دندانی سطحی تمرکز میکند.

قبل و بعد پاکسازی لثه و حذف جرمهای دندانی
چرا انجام جرمگیری لثه ضروری است؟
بیش از ۷۰٪ بزرگسالان دچار درجاتی از التهاب و عفونت لثه هستند، در حالی که بیشترشان از وجود آن بیخبرند. تجمع پلاک دندانی و جرم زیر لثه نهتنها باعث بوی بد دهان و تغییر رنگ دندانها میشود، بلکه بهمرور استخوان فک را تحلیل داده و پایهی دندان را تضعیف میکند.
جرمگیری لثه با حذف این رسوبات پنهان، از پیشرفت التهاب و آسیبهای جبرانناپذیر جلوگیری میکند. تأخیر در انجام جرمگیری لثه میتواند منجر به عفونت مزمن، تحلیل لثه و حتی لق شدن دندانها شود؛ مشکلاتی که درمانشان بسیار سختتر و پرهزینهتر است.
انجام منظم این کار ساده، تضمینی برای حفظ سلامت دهان، پیشگیری از بیماریهای لثه و داشتن نفسی تازه و لبخندی سالم است.
مراحل انجام جرمگیری لثه در مطب دندانپزشکی
فرآیند جرمگیری لثه در مطب دندانپزشکی با دقت و تخصص بالا انجام میشود تا تمام پلاکهای دندانی، جرم زیر لثه و باکتریهای مضر دهان بهطور کامل حذف شوند. مراحل این درمان عبارتاند از:
-
معاینه اولیه:
بررسی دقیق وضعیت لثهها از نظر التهاب، خونریزی، جرمهای سطحی و رسوبات زیر لثه توسط دندانپزشک انجام میشود. در صورت لزوم، عکس رادیوگرافی برای تشخیص عمق جرم و تحلیل استخوان فک گرفته میشود. -
بیحسی موضعی:
در موارد وجود التهاب یا عفونت لثه، از بیحسی موضعی استفاده میشود تا بیمار در طول جرمگیری لثه هیچ احساس درد یا ناراحتی نداشته باشد. -
پاکسازی سطحی دندانها:
با بهرهگیری از دستگاه اولتراسونیک و ابزار دستی اسکیلر، تمامی پلاکهای دندانی و رسوبات چسبیده به سطح دندانها جدا و با پاشش آب از محیط دهان خارج میشوند. -
جرمگیری زیر لثه (کورتاژ لثه):
در این مرحله، رسوبات و جرمهای عمیق زیر خط لثه حذف میشوند. دندانپزشک با دقت از ابزارهای مخصوص برای تسطیح ریشه دندان استفاده میکند تا سطح ریشه صاف شود و باکتریها نتوانند مجدداً تجمع کنند. -
پولیش دندانها:
پس از حذف کامل جرم و پلاک، دندانها با مواد مخصوص صیقل داده میشوند تا براقتر، صافتر و مقاومتر در برابر تشکیل مجدد پلاک باکتریایی باشند. -
بررسی نهایی و توصیههای پس از جرمگیری:
در پایان، وضعیت لثه و دندانها دوباره بررسی میشود تا اطمینان حاصل گردد تمام جرمها برداشته شدهاند. سپس دندانپزشک توصیههایی درباره مراقبت بعد از جرمگیری لثه مانند استفاده از مسواک نرم، دهانشویه آنتیباکتریال و پرهیز از سیگار ارائه میدهد.
نتیجه:
پس از جرمگیری لثه، لثهها سالمتر، التهاب کاهشیافته و بوی بد دهان برطرف میشود. این درمان بیدرد و تخصصی از تحلیل استخوان فک، عفونت لثه و بیماریهای پریودنتال پیشگیری کرده و ماندگاری دندانها را افزایش میدهد.
روشهای جرمگیری لثه (دستی، اولتراسونیک، لیزری و ایرفلو)
درمان جرمگیری لثه با توجه به شدت جرم، وضعیت لثه و حساسیت بیمار به روشهای مختلف انجام میشود. هر روش مزایا و کاربرد خاص خود را دارد و انتخاب صحیح آن، نقش مهمی در حفظ سلامت دهان و جلوگیری از التهاب و عفونت لثه دارد.
-
جرمگیری دستی (Scaling):
در این روش، دندانپزشک با ابزار دستی مانند اسکیلر، جرمها و رسوبات سطحی را از روی دندان و اطراف لثه جدا میکند.
مزایا: دقت بالا، مناسب برای جرمهای سبک، کنترل کامل توسط پزشک.
معایب: زمانبر بودن، احتمال احساس خراش جزئی روی دندان. -
جرمگیری با دستگاه اولتراسونیک:
این روش با ارتعاشات صوتی و اسپری آب، جرمهای سخت و عمیقتر را از بین میبرد. برای بیشتر بیماران، این نوع جرمگیری لثه بدون درد انجام میشود.
مزایا: سرعت بالا، حذف دقیق جرمهای زیر لثه، کاهش التهاب لثه.
معایب: احتمال حساسیت موقتی دندانها پس از درمان. -
جرمگیری با لیزر:
در این روش، انرژی لیزر برای تبخیر جرمهای سخت و از بین بردن باکتریهای زیر لثه بهکار میرود. جرمگیری با لیزر معمولاً بدون خونریزی و کاملاً بدون درد انجام میشود.
مزایا: کاهش التهاب و خونریزی، ترمیم سریعتر بافت لثه، ضدعفونی عمقی.
معایب: هزینهی بالاتر نسبت به سایر روشها، نیاز به تجهیزات پیشرفته. -
ایرفلو دندان (AirFlow):
در این روش نوین، ترکیبی از آب، هوا و پودر مخصوص روی سطح دندان پاشیده میشود تا لکههای رنگی، پلاک دندانی و جرمهای سطحی پاک شوند.
مزایا: کاملاً بدون درد، مناسب برای دندانهای حساس و بیماران ارتودنسی، سفیدکنندهی طبیعی.
معایب: برای جرمهای سخت زیر لثه کافی نیست و معمولاً بهعنوان مرحلهی نهایی جرمگیری لثه انجام میشود.

پاکسازی دندان با ایرفلو و حذف جرمهای زرد و پلاک باکتریایی
هر یک از این روشها بسته به شرایط دهان و نوع جرم میتوانند بهترین انتخاب باشند؛ اما در تمام موارد، انجام جرمگیری لثه بهموقع باعث پیشگیری از التهاب، بوی بد دهان و تحلیل لثه میشود و سلامت لبخند را برای سالها حفظ میکند.
بهترین روش جرمگیری لثه کدام است؟
انتخاب بهترین روش جرمگیری لثه به میزان جرم، وضعیت سلامت لثه و حساسیت دندانها بستگی دارد.
اگر لثههایتان ملتهب یا دچار تحلیل و سوزش هستند، روشهای مدرن مانند جرمگیری با لیزر یا ایرفلو دندان بهترین گزینهاند، چون بدون تماس مستقیم، درد یا خونریزی، جرمهای سطحی و عمقی را پاک میکنند و همزمان با ضدعفونی بافت لثه، التهاب را کاهش میدهند.
در مواردی که جرم دندانها سختتر و عمیقتر است، ممکن است دندانپزشک ترکیبی از اولتراسونیک و لیزر را پیشنهاد کند تا پاکسازی کاملتری انجام شود. برای افراد با دندانهای حساس یا ارتودنسی ثابت، ایرفلو بهترین انتخاب است، چون بدون آسیب به براکتها یا مینای دندان، تمام پلاکهای دندانی و جرم زیر لثه را از بین میبرد.
اگر نمیدانید کدام روش برای شما مناسبتر است، دندانپزشک با معاینه لثه و بررسی میزان التهاب، بهترین نوع جرمگیری لثه را بر اساس شرایط دهان شما انتخاب میکند تا هم زیبایی لبخندتان حفظ شود و هم از آسیب به لثهها جلوگیری شود.

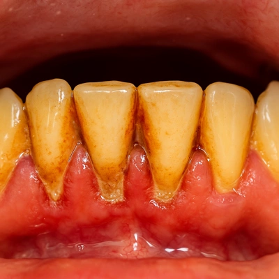
نمای نزدیک از دندانهای جرمگرفته و التهاب لثه
آیا جرمگیری لثه درد دارد؟
یکی از رایجترین دغدغههای بیماران این است که جرمگیری لثه دردناک باشد؛ در حالی که این تصور کاملاً نادرست است. فرآیند جرمگیری لثه با استفاده از بیحسی موضعی یا در صورت نیاز، ژلهای بیحسکننده انجام میشود تا بیمار هیچگونه درد یا سوزشی احساس نکند.
در بیشتر موارد، تنها ممکن است هنگام برداشتن پلاک دندانی و جرم زیر لثه کمی فشار یا ارتعاش حس شود که طبیعی و موقتی است. در روشهای پیشرفتهتر مانند جرمگیری با لیزر یا ایرفلو دندان، حتی همین احساس هم وجود ندارد؛ چراکه این تکنیکها بدون تماس مستقیم، کاملاً بدون درد و بدون خونریزی انجام میشوند.
تجربهی بیماران نشان میدهد بعد از جرمگیری، تنها حس خنکی و پاکیزگی در دهان باقی میماند و بسیاری از آنها میگویند کاش زودتر این درمان را انجام میدادند. بهطور کلی، جرمگیری لثه نهتنها درد ندارد، بلکه راهی مؤثر برای رهایی از التهاب، بوی بد دهان و احساس سنگینی روی دندانهاست.
مزایا و فواید جرمگیری لثه
جرمگیری لثه فقط برای زیبایی دندانها نیست، بلکه یکی از مؤثرترین راهها برای حفظ سلامت دهان و پیشگیری از بیماریهای لثه است. انجام منظم آن باعث بهبود ظاهر لبخند و جلوگیری از مشکلاتی میشود که بسیاری از افراد هر روز با آن دستوپنجه نرم میکنند. مهمترین فواید جرمگیری لثه عبارتاند از:
-
جلوگیری از التهاب و عفونت لثه: حذف کامل پلاک دندانی و جرم زیر لثه مانع رشد باکتریهای مضر و پیشرفت التهاب میشود.
-
پیشگیری از تحلیل لثه و لق شدن دندانها: با برداشتن رسوبات سخت، فشار از روی بافت لثه و استخوان فک برداشته شده و سلامت دندانها حفظ میشود.
-
رفع بوی بد دهان: از بین رفتن باکتریهای دهان باعث تنفس تازه و احساس طراوت میشود.
-
افزایش سفیدی و درخشندگی دندانها: با پاکسازی لکههای ناشی از چای، قهوه و سیگار، رنگ طبیعی دندان بازمیگردد.
-
بهبود سلامت عمومی بدن: کاهش التهاب دهان، احتمال بروز بیماریهای قلبی و دیابت مرتبط با عفونت لثه را کمتر میکند.
-
احیای لثههای آسیبدیده: با جرمگیری لثه، بافتهای لثه فرصت ترمیم پیدا کرده و مجدداً به دندانها متصل میشوند.
جرمگیری لثه درمانی ساده اما حیاتی است که با یک جلسه کوتاه میتواند از بروز بسیاری از مشکلات دهان و دندان جلوگیری کند و حس تمیزی و آرامش را به لبخند شما بازگرداند.
عوارض و حساسیتهای موقتی پس از جرمگیری لثه
جرمگیری لثه درمانی ایمن و غیرتهاجمی است، اما مانند هر مداخلهی دندانپزشکی ممکن است چند واکنش خفیف و موقتی ایجاد کند. این نشانهها طبیعی هستند و معمولاً ظرف چند روز برطرف میشوند.
دلیل اصلی آن، قرار گرفتن سطح دندان در معرض محیط دهان پس از حذف لایههای جرم و پلاک است که پیشتر سطح دندان را میپوشاند. عوارض رایج و کوتاهمدت پس از جرمگیری لثه شامل موارد زیر است:
-
حساسیت دندانها: پس از برداشته شدن جرمها، دندانها ممکن است در برابر سرما و گرما واکنش نشان دهند که معمولاً ظرف چند روز از بین میرود.
-
خونریزی خفیف لثه: به علت تحریک جزئی بافت لثه در حین پاکسازی، مقدار کمی خونریزی ممکن است رخ دهد که نشانهی بازگشت سلامت لثه است.
-
التهاب یا سوزش موقتی: گاهی لثهها کمی متورم یا قرمز میشوند که ناشی از تحریک بافت پس از حذف پلاک دندانی و جرم زیر لثه است.
-
تحلیل جزئی لثه: در برخی موارد، لثه پس از جرمگیری کمی پایینتر بهنظر میرسد، زیرا جرمهای انباشته قبلاً این فضا را پر کرده بودند.
-
طعم یا بوی موقتی دهان: پس از پاکسازی عمیق، آزاد شدن باکتریها و رسوبات قدیمی میتواند طعم فلزی یا بوی خاصی ایجاد کند که سریعاً برطرف میشود.
این علائم کوتاهمدت بخشی از فرآیند طبیعی ترمیم بافت لثه هستند و نشانهی آغاز بازسازی و سلامت مجدد دهان محسوب میشوند. رعایت بهداشت دهان، استفاده از خمیردندان ضدحساسیت و پرهیز از سیگار به بهبود سریعتر کمک میکند.
مراقبتهای بعد از جرمگیری لثه
رعایت توصیههای ساده و علمی پس از جرمگیری لثه باعث ترمیم سریعتر بافت لثه، کاهش التهاب و حساسیت و جلوگیری از بازگشت پلاک دندانی میشود. این مراقبتها بخش مهمی از نتیجهی درمان هستند و به حفظ سلامت دهان کمک میکنند. نکات ضروری پس از جرمگیری لثه عبارتاند از:
-
استفاده از مسواک نرم: تا چند روز از مسواک نرم با حرکات آرام استفاده کنید تا بافت لثه تحریک نشود و بهبود سریعتر انجام شود.
-
پرهیز از سیگار و نوشیدنیهای الکلی: سیگار روند ترمیم را کند کرده و احتمال عفونت لثه را افزایش میدهد.
-
خودداری از خوردن غذاهای داغ یا تند: این مواد باعث سوزش و التهاب لثههای حساس میشوند.
-
استفاده از دهانشویه آنتیباکتریال: دهانشویه حاوی کلرهگزیدین به کاهش باکتریهای دهان و جلوگیری از تجمع جرم جدید کمک میکند.
-
خمیردندان ضدحساسیت: در صورت احساس حساسیت دندانها، از خمیردندان مخصوص دندانهای حساس استفاده کنید.
-
نوشیدن آب زیاد: به پاکسازی باکتریها و حفظ رطوبت دهان کمک میکند.
-
پیگیری معاینهی دورهای: مراجعه مجدد به دندانپزشک برای ارزیابی بافت لثه و حذف پلاکهای جدید ضروری است.
چه غذاهایی بعد از جرمگیری لثه بخوریم یا نخوریم؟
-
غذاهای مناسب: سوپ ولرم، ماست، سیبزمینی پورهشده، تخممرغ آبپز و اسموتی میوه برای چند روز اول توصیه میشود.
-
غذاهای ممنوع: خوراکیهای سفت، تند، اسیدی یا بسیار گرم مانند چیپس، آجیل، فلفل، قهوه داغ و نوشابه باید حذف شوند.
رعایت این موارد پس از جرمگیری لثه باعث کاهش التهاب، بازسازی سریعتر بافت لثه و ماندگاری طولانیتر نتایج درمان میشود.
پیشگیری از تشکیل مجدد جرم بعد از جرمگیری لثه
بسیاری از افراد پس از جرمگیری لثه نگران بازگشت دوبارهی جرمها و پلاکهای دندانی هستند. خبر خوب این است که با چند اقدام ساده میتوانید از تشکیل مجدد جرم جلوگیری کرده و سلامت بافت لثه را برای مدت طولانی حفظ کنید. رعایت مداوم بهداشت دهان، مهمترین عامل در پیشگیری از بازگشت جرم است.
-
مسواک زدن منظم: حداقل دو بار در روز با مسواک نرم و خمیر دندان حاوی فلوراید مسواک بزنید تا پلاک دندانی قبل از سخت شدن از بین برود.
-
استفاده از نخ دندان یا واتر فلاسر: نخ دندان ذرات غذایی و باکتریهایی را که در فواصل دندانی و زیر لثه پنهان میشوند، پاک میکند و مانع تشکیل رسوبات جدید میشود.
-
دهانشویه آنتیباکتریال: استفاده روزانه از دهانشویه مخصوص، رشد باکتریهای دهان را کاهش داده و از التهاب لثه جلوگیری میکند.
-
پرهیز از سیگار و نوشیدنیهای رنگی: نیکوتین و مواد رنگزا مانند چای و قهوه سرعت تشکیل جرم را چند برابر میکنند.
-
جرمگیری دورهای: حتی با رعایت کامل بهداشت، هر ۶ ماه یکبار برای جرمگیری لثه مراجعه کنید تا جرمهای میکروسکوپی که در خانه قابل حذف نیستند، پاکسازی شوند.
با رعایت این نکات ساده، میتوانید نتایج جرمگیری لثه را ماندگار کرده و از بازگشت جرم، التهاب لثه و بوی بد دهان جلوگیری کنید.
هزینه جرمگیری لثه در سال ۱۴۰۴
هزینه جرمگیری لثه در سال ۱۴۰۴ بسته به روش درمان، شدت جرم، تعداد دندانها، نوع دستگاه (اولتراسونیک، لیزر، ایرفلو) و منطقهی جغرافیایی متغیر است.
بهطور کلی، تعرفه جرمگیری برای هر فک میتواند از حدود ۷۰۰ هزار تومان تا حدود ۴ میلیون تومان در موارد پیچیده و همراه با درمانهای لثهای متغیر باشد. در بسیاری از کلینیکها، برای جرمگیری کامل دو فک با روشهای مختلف، حدود قیمتهای زیر رایج است:
-
جرمگیری لثه با دستگاه اولتراسونیک برای دو فک: حدود ۱٫۸ میلیون تومان
-
هزینه ایرفلو دندان (ایرفلو دو فک): حدود ۱٫۹ میلیون تومان
-
قیمت جرمگیری با لیزر برای دو فک: حدود ۲ میلیون تومان
در نظر داشته باشید که هزینه جرمگیری لثه در افرادی که جرم و التهاب بیشتری دارند، ممکن است کمی بالاتر باشد؛ اما در مقابل، از بروز درمانهای گرانقیمتتر مانند جراحی لثه و ایمپلنت در آینده جلوگیری میکند.
| روش جرمگیری | مناسب برای | حدود هزینه ۱۴۰۴ |
|---|---|---|
| اولتراسونیک دو فک | جرم متوسط تا شدید | ≈ ۱,۸۰۰,۰۰۰ تومان |
| ایرفلو دو فک | لکه و پلاک سطحی | ≈ ۱,۹۰۰,۰۰۰ تومان |
| لیزر دو فک | لثه ملتهب و حساس | ≈ ۲,۰۰۰,۰۰۰ تومان |
هر چند وقت یکبار باید جرمگیری لثه انجام شود؟
فاصلهی بین جلسات جرمگیری لثه به سرعت تشکیل پلاک دندانی، سطح بهداشت دهان و دندان، مصرف سیگار، نوع رژیم غذایی و سابقهی التهاب یا تحلیل لثه بستگی دارد. در بیشتر افراد سالم که بهطور منظم مسواک میزنند و از نخ دندان استفاده میکنند، انجام جرمگیری لثه هر ۶ ماه یکبار برای پیشگیری از تجمع جرم و عفونت لثه کافی است.
اما در افرادی که سیگار میکشند، چای و قهوه زیاد مصرف میکنند، ارتودنسی ثابت دارند، دچار بیماریهای لثه یا دیابت هستند، پلاک دندانی سریعتر تشکیل میشود و توصیه میشود هر ۳ تا ۴ ماه یکبار برای پاکسازی حرفهای مراجعه کنند.
در نهایت، دندانپزشک بر اساس معاینهی دهان و ارزیابی میزان جرم، بهترین فاصلهی زمانی بین جلسات جرمگیری لثه را برای شما تعیین میکند.
آیا جرمگیری لثه با بیمه انجام میشود؟
بله ✅ در بسیاری از موارد، جرمگیری لثه جزو خدمات دندانپزشکی پیشگیرانه محسوب میشود و تحت پوشش بیمهی پایه یا تکمیلی قرار میگیرد.
معمولاً بیمه هزینهی جرمگیری معمولی یا اولتراسونیک را تا سقف مشخصی پرداخت میکند، و برای روشهای پیشرفتهتر مثل جرمگیری با لیزر یا ایرفلو دندان نیز میتوانید از بیمهی تکمیلی استفاده کنید.
در کلینیک دکتر کیهان کندری، پس از انجام درمان، گواهی رسمی و فاکتور معتبر در اختیارتان قرار میگیرد تا بتوانید مبلغ پرداختی را از بیمهی خود دریافت کنید. به این ترتیب، هم از خدمات تخصصی و بدون درد جرمگیری لثه بهرهمند میشوید و هم بخشی از هزینهها را از بیمه بازپس میگیرید.
هنوز در مورد جرمگیری لثه مطمئن نیستید؟
خیلی از مراجعان ما بعد از خوندن همین توضیحات، یک سوال کوتاه درباره التهاب لثه، بوی بد دهان یا هزینه نهایی برای شرایط خودشون داشتند و ترجیح دادند در یک تماس چند دقیقهای با دکتر کیهان کندری خیالشان راحت شود.
اگر احساس میکنید لثهتان خونریزی، سوزش یا حساسیت غیرعادی دارد، لمس کردن این شماره از روی گوشی کافی است تا منشی کلینیک وضعیت شما را بپرسد و زمان مناسب معاینه را هماهنگ کند.
تهران، خیابان ولیعصر، خیابان عباسپور (توانیر)، روبهروی بیمارستان دی، ساختمان پزشکان ۱۸، طبقه اول – مطب دکتر کیهان کندری
سوالات متداول درباره جرمگیری لثه (FAQ)
در این بخش به پرتکرارترین دغدغهها و پرسشهایی پاسخ میدهیم که کاربران هنگام جستوجوی جرمگیری لثه در گوگل مطرح میکنند. پاسخها کوتاه، علمی و بر اساس تجربهی بالینی دندانپزشکان تنظیم شدهاند.
-
آیا جرمگیری لثه باعث لق شدن دندانها میشود؟
خیر، لق شدن پس از جرمگیری موقتی است و ناشی از برداشته شدن جرمهایی است که دندان را مصنوعی نگه داشته بودند. در واقع جرمگیری لثه مانع لق شدن دائمی دندانها در آینده میشود. -
آیا جرمگیری لثه برای زنان باردار ایمن است؟
بله، با نظر دندانپزشک و در سهماههی دوم بارداری، جرمگیری لثه بدون درد و بیخطر انجام میشود و از عفونت لثه در دوران بارداری جلوگیری میکند. -
آیا جرمگیری لثه باعث آسیب به مینای دندان میشود؟
خیر، ابزارهای جرمگیری به گونهای طراحی شدهاند که تنها پلاک دندانی و جرم زیر لثه را حذف کنند و هیچ آسیبی به مینای طبیعی دندان نمیزنند. -
آیا جرمگیری لثه با لیزر بهتر است؟
بله، جرمگیری با لیزر روشی نوین، بدون درد و بدون خونریزی است که علاوه بر حذف جرم، باکتریهای عمقی لثه را نیز از بین میبرد و روند ترمیم را سریعتر میکند. -
آیا امکان جرمگیری لثه در خانه وجود دارد؟
خیر، روشهای خانگی مثل جوششیرین یا زغال فعال تنها لکههای سطحی را پاک میکنند و قادر به حذف جرمهای زیر لثه و پلاکهای سخت نیستند؛ انجام آن باید در مطب و زیر نظر دندانپزشک انجام شود. -
بعد از جرمگیری لثه تا چند ساعت نباید چیزی خورد؟
معمولاً توصیه میشود تا ۲ ساعت بعد از جرمگیری چیزی نخورید و از غذاهای داغ یا تند تا ۲۴ ساعت پرهیز کنید تا بافت لثه فرصت ترمیم داشته باشد. -
آیا جرمگیری لثه میتواند بوی بد دهان را از بین ببرد؟
بله، با حذف پلاک باکتریایی و عفونتهای لثهای، منبع اصلی بوی بد دهان از بین میرود و تنفس کاملاً تازه و تمیز میشود. -
آیا جرمگیری لثه برای افراد دیابتی یا سیگاری خطر دارد؟
خیر، بلکه انجام آن برای این گروه ضروریتر است، زیرا جرمگیری منظم لثه از پیشرفت التهاب و تحلیل استخوان فک جلوگیری میکند و مانع از دست رفتن دندانها میشود.
تجربهی واقعی بیماران پس از جرمگیری لثه
بشنوید کسانی که این درمان را انجام دادهاند، چه احساسی نسبت به نتیجه دارند و دکتر کیهان کندری دربارهی اهمیت آن چه میگوید.
الهام – ۳۴ ساله
سالها بود موقع مسواک زدن لثههام خون میاومد و دهانم همیشه بوی بد میداد. بعد از جرمگیری با لیزر تو کلینیک دکتر کندری، هم درد نداشتم، هم بوی دهانم کاملاً از بین رفت. حس میکنم نفس تازه میکشم!
سعید – ۴۲ ساله
همیشه از جرمگیری میترسیدم چون فکر میکردم دندونهام لق میشن. ولی وقتی انجام دادم، هیچ دردی حس نکردم و دندونهام تمیز و سبک شدن. لثههام هم بعد از چند روز کاملاً سالم شدن.
دکتر کیهان کندری (دندانپزشک ترمیمی و زیبایی)
جرمگیری لثه یکی از سادهترین ولی مؤثرترین درمانهای پیشگیرانه است. بسیاری از بیمارانی که به خاطر التهاب یا تحلیل لثه مراجعه میکنند، اگر جرمگیری منظم انجام میدادند، هیچوقت کارشان به جراحی نمیکشید. این کار در عین سادگی، سلامت دهان را سالها تضمین میکند.
مریم – ۲۸ ساله
با ایرفلو انجام دادم، واقعاً بدون درد و سریع بود. دندونهام سفیدتر شدن و لثههام هم دیگه موقع مسواک زدن خون نمیاد. حس سبکی تو دهانم واقعاً لذتبخشه.
رضا – ۵۰ ساله
جرمگیری لثه رو با دستگاه اولتراسونیک انجام دادم، کمی لرزش داشت ولی اصلاً درد نداشت. الان بعد از دو هفته، التهاب لثههام کامل برطرف شده و دیگه از بوی بد دهان خبری نیست.
جمعبندی و نتیجهگیری
جرمگیری لثه فقط یک اقدام زیبایی نیست، بلکه درمانی پیشگیرانه و ضروری برای حفظ سلامت دهان و پیشگیری از التهاب و تحلیل لثه است. اگر انجام آن را به تعویق بیندازید، پلاک دندانی و جرم زیر لثه بهتدریج موجب عفونت، بوی بد دهان و حتی از دست رفتن دندانها میشوند.
امروزه با روشهای مدرن مانند جرمگیری با لیزر و ایرفلو دندان، این کار کاملاً بدون درد و خونریزی انجام میشود. اگر هنگام مسواک زدن از لثهتان خون میآید یا بوی ناخوشایند دهان اذیتتان میکند، همین حالا وقت آن است که برای جرمگیری لثه اقدام کنید و از لبخندی سالم و نفس تازه لذت ببرید.





