مطب تخصصی دندانپزشکی دکتر کیهان کندری
درخواست تماس
  • دکتر کیهان کندری
  • معرفی
    • درباره ما
  • خدمات
    • سدیشن
    • ایمپلنت دندان
    • دندان عقل
    • لمینت دندان
    • بلیچینگ دندان
    • جرم‌گیری دندان
    • عصب‌کشی دندان
  • وبلاگ
  • گالری
  • تماس با ما
  • دکتر کیهان کندری
  • معرفی
    • درباره ما
  • خدمات
    • سدیشن
    • ایمپلنت دندان
    • دندان عقل
    • لمینت دندان
    • بلیچینگ دندان
    • جرم‌گیری دندان
    • عصب‌کشی دندان
  • وبلاگ
  • گالری
  • تماس با ما
  • دکتر کیهان کندری
  • معرفی
    • درباره ما
  • خدمات
    • سدیشن
    • ایمپلنت دندان
    • دندان عقل
    • لمینت دندان
    • بلیچینگ دندان
    • جرم‌گیری دندان
    • عصب‌کشی دندان
  • وبلاگ
  • گالری
  • تماس با ما
  • دکتر کیهان کندری
  • معرفی
    • درباره ما
  • خدمات
    • سدیشن
    • ایمپلنت دندان
    • دندان عقل
    • لمینت دندان
    • بلیچینگ دندان
    • جرم‌گیری دندان
    • عصب‌کشی دندان
  • وبلاگ
  • گالری
  • تماس با ما
وبلاگ
دکتر کیهان کندری مقالات بیماری لثه
مقالات
۱۴۰۳-۰۵-۰۲ 0 دیدگاه

بیماری لثه

بیماری لثه چیست؟

بیماری لثه (یا بیماری پریودنتال) یک عفونت شایع در بافت‌های نرم اطراف دندان است که در صورت عدم درمان، می‌تواند منجر به از دست رفتن دندان‌ها و مشکلات جدی‌تر در سلامت دهان و دندان شود. این بیماری در مراحل اولیه به نام التهاب لثه (ژنژیویت) شناخته می‌شود و در صورت پیشرفت به پریودنتیت تبدیل می‌شود که آسیب‌های عمیق‌تری به استخوان و بافت‌های پشتیبان دندان وارد می‌کند.

علت بیماری لثه چیست؟

علت اصلی بیماری لثه، تجمع پلاک‌های باکتریایی روی دندان‌ها و لثه است. اما عوامل مختلفی می‌توانند خطر ابتلا به این بیماری را افزایش دهند، از جمله:

  • بهداشت دهان و دندان نامناسب (عدم مسواک زدن و استفاده نکردن از نخ دندان)
  • سیگار کشیدن و مصرف تنباکو
  • دیابت (افزایش قند خون می‌تواند منجر به ضعف سیستم ایمنی دهان شود)
  • تغذیه نامناسب و کمبود ویتامین‌ها
  • استرس و فشار عصبی (کاهش توانایی بدن در مبارزه با عفونت‌ها)
  • استفاده طولانی مدت از برخی داروها (مانند داروهای ضد افسردگی و ضد فشار خون که باعث خشکی دهان می‌شوند)
  • عوامل ژنتیکی
  • تغییرات هورمونی در زنان (بارداری، قاعدگی، یائسگی)

رابطه بین بیماری لثه و جرم‌گیری: آیا واقعا نیاز است؟

اگر لثه‌هایتان خونریزی می‌کنند، متورم شده‌اند یا بوی بد دهان شما قطع نمی‌شود، شاید به یک جرم‌گیری عمیق نیاز داشته باشید! اما آیا واقعا جرم‌گیری دندان در بهبود بیماری لثه موثر است؟ بیایید این موضوع را با دقت بررسی کنیم.

چرا جرم روی دندان باعث بیماری لثه می‌شود؟

لثه‌های سالم مانند سپری از دندان‌های شما محافظت می‌کنند. اما زمانی که مواد غذایی و باکتری‌ها روی دندان باقی می‌مانند، پلاک تشکیل می‌شود. اگر این پلاک‌ها تمیز نشوند، به مرور سخت شده و تبدیل به جرم دندانی (تارتار) می‌شوند که فقط توسط دندانپزشک قابل پاکسازی است.

جرم‌ها به باکتری‌های مضر اجازه می‌دهند که به زیر خط لثه نفوذ کنند، باعث التهاب شوند و در نهایت، بیماری لثه را آغاز کنند.

جرم‌گیری و بیماری لثه: آیا جرم‌گیری به درمان کمک می‌کند؟

جرم‌گیری یکی از موثرترین روش‌های پیشگیری و درمان بیماری لثه است. این روش به دو شکل انجام می‌شود:

1️⃣ جرم‌گیری معمولی: برای افرادی که دچار التهاب خفیف لثه هستند. این روش شامل برداشتن پلاک و جرم روی دندان‌ها و خط لثه است.

2️⃣ جرم‌گیری عمیق (Scaling & Root Planing): اگر التهاب لثه پیشرفت کرده باشد و به پریودنتیت تبدیل شده باشد، جرم‌ها به زیر لثه نفوذ کرده و باعث تخریب استخوان می‌شوند. در این مرحله، دندانپزشک باید جرم‌ها را از زیر خط لثه پاکسازی کند تا از پیشرفت بیماری جلوگیری شود.

آیا جرم‌گیری درد دارد؟

بسیاری از افراد نگران درد هنگام جرم‌گیری هستند. اما خبر خوب این است که جرم‌گیری معمولاً دردناک نیست و در صورت حساسیت لثه‌ها، دندانپزشک می‌تواند از بی‌حسی موضعی استفاده کند. پس دلیلی برای ترس وجود ندارد!

آیا بعد از جرم‌گیری، بیماری لثه برمی‌گردد؟

همه چیز به شما بستگی دارد! اگر بعد از جرم‌گیری، بهداشت دهان را رعایت نکنید، پلاک‌ها دوباره تشکیل شده و بیماری لثه بازمی‌گردد. پس باید:

✔ مسواک زدن منظم (حداقل ۲ بار در روز)
✔ استفاده از نخ دندان هر روز
✔ دهانشویه ضدباکتریایی
✔ مراجعه منظم به دندانپزشک

جرم‌گیری؛ دوست یا دشمن؟

برخلاف تصور غلطی که برخی افراد دارند، جرم‌گیری به هیچ عنوان باعث آسیب به مینای دندان یا لثه‌ها نمی‌شود! بلکه یکی از بهترین راهکارهای پیشگیری و درمان بیماری لثه است. اگر لثه‌های شما دچار التهاب شده‌اند، منتظر نمانید! هرچه زودتر برای جرم‌گیری اقدام کنید تا از عوارض جدی‌تر جلوگیری شود.

درمان بیماری لثه: قبل و بعد از جرم‌گیری

درمان بیماری لثه: قبل و بعد از جرم‌گیری

مراحل بیماری لثه

بیماری لثه در سه مرحله اصلی پیشرفت می‌کند:

1. ژنژیویت (التهاب لثه)

  • قرمزی و تورم لثه‌ها
  • خونریزی هنگام مسواک زدن یا نخ دندان کشیدن
  • برگشت‌پذیر در صورت رعایت بهداشت دهان و درمان زودهنگام
خونریزی ناشی از بیماری لثه (ژنژیویت)

خونریزی ناشی از بیماری لثه (ژنژیویت)

2. پریودنتیت اولیه

  • تحلیل تدریجی لثه‌ها
  • ایجاد فواصل بین دندان‌ها
  • خونریزی و التهاب شدیدتر
  • نیاز به درمان تخصصی برای جلوگیری از پیشرفت بیشتر

3. پریودنتیت پیشرفته

  • تحلیل شدید استخوان فک
  • لق شدن دندان‌ها
  • درد شدید هنگام جویدن
  • احتمال افتادن دندان‌ها
تأثیر جرم‌گیری در درمان بیماری لثه

تأثیر جرم‌گیری در درمان بیماری لثه

علائم بیماری لثه

  • تورم و قرمزی لثه‌ها
  • خونریزی هنگام مسواک زدن یا نخ دندان کشیدن
  • بوی بد دهان مداوم
  • عقب‌رفتگی لثه و نمایان شدن ریشه دندان‌ها
  • درد یا حساسیت لثه
  • ایجاد چرک بین دندان‌ها و لثه
  • لق شدن یا جابه‌جایی دندان‌ها

بیماری‌های مرتبط با لثه

  • آبسه لثه (تجمع عفونت در بافت لثه)
  • پسرفت لثه (تحلیل تدریجی لثه‌ها)
  • پری‌کرونیت (التهاب لثه در اطراف دندان عقل نهفته)
  • بیماری‌های قلبی و دیابت (ارتباط قوی بین بیماری لثه و بیماری‌های سیستمیک وجود دارد)

درمان بیماری لثه

1. درمان خانگی در مراحل اولیه

  • مسواک زدن حداقل دو بار در روز با خمیر دندان حاوی فلوراید
  • استفاده از نخ دندان روزانه
  • دهانشویه ضد باکتریایی (مانند کلرهگزیدین)
  • مصرف مواد غذایی سرشار از ویتامین C و D
  • اجتناب از سیگار و مصرف الکل
پیشرفت بیماری لثه و تحلیل لثه‌ها

پیشرفت بیماری لثه و تحلیل لثه‌ها

2. درمان تخصصی در مراحل پیشرفته

  • جرم‌گیری و پاکسازی عمیق دندان‌ها توسط دندانپزشک
  • جراحی فلپ لثه (برداشتن پلاک‌های عمیق زیر لثه)
  • پیوند لثه در موارد شدید تحلیل لثه
  • آنتی‌بیوتیک‌تراپی برای کنترل عفونت‌های لثه‌ای

پیشگیری از بیماری لثه

  • رعایت بهداشت دهان و دندان به طور منظم
  • معاینات دوره‌ای دندانپزشکی هر ۶ ماه یک‌بار
  • کاهش مصرف قند و نشاسته
  • ترک سیگار و دخانیات
  • نوشیدن آب کافی و استفاده از آدامس بدون قند برای تحریک بزاق

درمان بیماری لثه قبل از ارتودنسی

اگر قصد انجام ارتودنسی دارید و به بیماری لثه مبتلا هستید، باید قبل از نصب براکت‌ها لثه‌های خود را درمان کنید. زیرا:

  • براکت‌های ارتودنسی باعث افزایش تجمع پلاک می‌شوند.
  • لثه‌های بیمار در برابر فشار ارتودنسی آسیب‌پذیرتر هستند.
  • درمان بیماری لثه قبل از ارتودنسی از مشکلات جدی مانند لق شدن دندان جلوگیری می‌کند.

راهکارهای درمانی قبل از ارتودنسی:

  • جرم‌گیری و پاکسازی حرفه‌ای دندان‌ها
  • بررسی عمق پاکت‌های لثه‌ای و درمان التهاب‌های احتمالی
  • تقویت بهداشت دهان و رژیم غذایی سالم

بیماری لثه مشکلی شایع اما قابل پیشگیری است. رعایت بهداشت دهان و دندان، مراجعه منظم به دندانپزشک و درمان زودهنگام می‌تواند از بروز مشکلات جدی جلوگیری کند. اگر علائم بیماری لثه را در خود مشاهده کردید، بهتر است هرچه سریع‌تر برای درمان اقدام کنید تا سلامت دندان‌های خود را حفظ کنید.

بیماری لثه

بیماری‌های مختلف در ناحیه‌ی لثه یکی از مشکلات افراد در جامعه است که در صورت عدم توجه به آن‌ها، می‌توانند به اختلالات و مشکلات خطرناکی در کل دهان و حتی بدن کلی منجر شوند. بیماری‌ لثه از نظر دندانپزشکان، به عنوان یک بیماری شایع دندانی قلمداد می‌شود. این بیماری معمولاً به دلیل تجمع باکتری در محیط دهانی و روی سطوح دندان‌ها و داخل بافت‌های نرم پیرامون دندان‌ها شروع می‌شود.

اگرچه درد و احساس ناراحتی در ابتدای بیماری لثه نادر است، اما بیماری لثه تأثیرات جدی بر روی سلامتی دهان و راحتی بیمار دارند. در این مطلب قصد داریم در رابطه با تأثیر بیماری لثه بر سلامت دندان و راهکارهای مبارزه با آن‌ها صحبت کنیم. ادامه مطلب را همراه ما باشید.

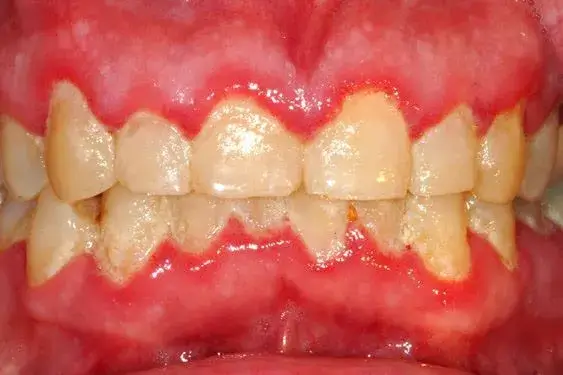
تصویر واقعی بیماری لثه با جرم شدید دندانی

تصویر واقعی بیماری لثه با جرم شدید دندانی

تأثیر بیماری های لثه بر سلامت دندان

بیماری‌ لثه می‌توانند تأثیرات خطرناکی بر روی سلامت دندان‌ها داشته باشند که در صورت عدم درمان به مشکلات جدی‌تری منجر شوند. این بیماری‌ها نیز همانند بسیاری از بیماری‌های دیگر، دارای فازهای مختلفی هستند و اگر در فازهای اولیه شناسایی و درمان شوند، مشکلات و مخاطرات آن‌ها به حداقل ممکن می‌رسد.

بیماری‌ لثه باعث تولید پلاک و سنگ دندانی می‌شوند که در نهایت باعث تخریب استخوان‌های فک و دندان‌ها می‌شود. این مشکلات می‌توانند باعث تخریب دندان‌ها و حتی فروریختن آن‌ها شوند. همچنین، مریضی‌های لثه می‌توانند منجر به ترکیب باکتری‌ها در محیط دهان و ایجاد التهابات عمیق در داخل بافت‌های نرم شوند.

علاوه بر این، این نوع بیماری ها می‌توانند به شکل مستقیم به سایر بیماری‌های دهان و دندان منجر شوند. به عنوان مثال، یک بیماری لثه شدید ممکن است باعث فرسایش پوسته دهان شود. همچنین به شما اجازه ندهد به اندازه کافی غذا و آب بخورید. بیماری‌ لثه می‌توانند به عنوان عامل اصلی در بروز ترک‌ در زبان عمل کنند و منجر به عفونت‌ دندان جدی شوند.

به همین دلیل، برای حفظ سلامت دندان‌ها و بهبود کیفیت زندگی باید به رعایت بهداشت دهان و دندان، مراقبت مناسب از دهان و دندان، مراجعه به پزشک دندانپزشک برای بررسی دوره‌ای و در صورت لزوم درمان شدید بیماری‌ لثه توصیه می‌شود.

بیماری‌های لثه به چه علتی ایجاد می‌شوند و چه تأثیری بر روی کل دهان دارند؟

بیماری‌ لثه یکی از مشکلات شاغلان جامعه هستند که در صورت عدم توجه به آن‌ها، می‌توانند به اختلالات و مشکلات خطرناکی در دستگاه دهانی و حتی بدن کلی منجر شوند. این بیماری به دلیل تجمع باکتری در محیط دهانی و روی سطوح دندان‌ها و داخل بافت‌های نرم پیرامون دندان‌ها شروع می‌شود. این باکتری‌ها باعث تولید پلاک و سنگ دندانی می‌شوند که در نهایت باعث تخریب استخوان‌های فک و دندان‌ها می‌شود.

بیماری‌ لثه به دلیل تجمع باکتری و ترکیب آن‌ها با باقیمانده مواد غذایی و پلاک، به صورت التهاب شدیدی در دهان ایجاد می‌شوند که در نهایت باعث تهاجم باکتری‌ها به داخل بافت‌های نرم پیرامون دندان‌ها می‌شود.

این بیماری‌ها علاوه بر تأثیرات خطرناک بر روی سلامت دهان و دندان‌ها، می‌توانند به شکل مستقیم به سایر بیماری‌های دهان و دندان منجر شوند. به عنوان مثال، یک بیماری لثه شدید ممکن است باعث فرسایش پوسته دهان و همچنین باعث کاهش میزان آب خوردن و خوردن مواد غذایی شود. همچنین، بیماری‌ لثه می‌توانند به عنوان عامل اصلی در بروز ترک‌های در دهان عمل کنند و منجر به عفونت‌های جدی شوند.

بنابراین، برای پیشگیری از بیماری‌ لثه و حفظ سلامت دهان و دندان، لازم است به رعایت بهداشت دهان و دندان، مراقبت مناسب از دهان و دندان، مراجعه به پزشک دندانپزشک برای بررسی دوره‌ای و در صورت لزوم درمان شدید بیماری‌های لثه توصیه می‌شود.

راهکارهای پیشگیری از بیماری‌های لثه

در ادامه تعدادی از راهکارهای پیشگیری از بیماری لثه برای شما ذکر شده است:

– تمیز نگه داشتن دندان‌ها: برای جلوگیری از تجمع باکتری و پلاک، باید دندان‌ها را حداقل دو بار در روز بشویید.

– استفاده از محصولات بهداشتی خاص: شما می‌توانید از محصولات بهداشتی خاص مانند نخ دندان، دهانشویه و مواد شستشوی دهان استفاده کنید تا بهترین مراقبت از دهان و دندان‌های خود را داشته باشید.

– رعایت تغذیه سالم: تغذیه سالم و متنوعی که شامل میوه‌ها، سبزیجات، غلات و خوراکی‌های پروتئینی است، به کاهش خطر ابتلا به بیماری لثه کمک می‌کند.

– قطع کردن عادت‌های بد: عادت‌هایی مانند سیگار کشیدن و مصرف الکل باعث افزایش خطر ابتلا به بیماری‌ لثه می‌شوند، بنابراین قطع کردن این عادت‌ها می‌تواند به بهبود سلامت دهان و دندان شما کمک کند.

– مراجعه به دندانپزشک: مراجعه به دندانپزشک برای بررسی دندان‌ها و درمان بیماری‌ لثه به تأخیر انداخته نشود. منظور از بررسی دوره‌ای، بررسی دندان‌ها و رفع هر گونه مشکل برای جلوگیری از بروز خطرناک‌ترین مشکلات است.

برای حفظ سلامت دهان و دندان، لازم است این راهکارهای پیشگیری را به شیوه منظم و مداومی در روزمره خود تجربه کنید.

روش‌های درمانی برای بیماری‌های لثه

درباره تأثیر بیماری لثه بر سلامت دندان صحبت کردیم، حالا می خواهیم بگوییم که اگر به این بیماری ها مواجه شدید، چه روش های درمانی در مقابل شما وجود دارد. در مواردی که بیماری‌ لثه به شدت پیشرفت کرده باشند، ممکن است رعایت راهکارهای پیشگیری نتواند آن‌ها را بهبود بخشد و درمان‌های دیگری لازم باشد. در اینجا به برخی از روش‌های درمانی برای بیماری‌ لثه پرداخته شده است:

– جرم گیری: در این روش، دندانپزشک با استفاده از سرویس های دندانی و ابزارهای خاص، پلاک، سنگ و باکتری‌های موجود در محیط دهان را تمیز کرده و باعث حذف تخریب‌های ناشی از بیماری‌ لثه می‌شود.

– کورتاژ لثه: این روش یک فرایند پایانی برای از بین بردن تخریب‌های عمیق تر است. در این روش، دندانپزشک یک برش را در بافت‌های نرم پیرامون دندان می‌زند تا به باکتری‌های موجود در آن منطقه دسترسی پیدا کند.

– جراحی لثه: این روش شامل برداشتن بافت لثه اضافی برای پاک کردن باکتری‌ها و جلوگیری از تجمع آن‌ها در آینده است. در بعضی موارد، دندانپزشک ممکن است نیاز به پرکردن یا جایگزینی دندان‌ها را با استفاده از تکنولوژی‌های پیشرفته مانند ایمپلنت داشته باشد.

– تجویز داروهای ضد باکتری: برخی از پزشکان دندانپزشک ممکن است به علاوه شستشوی دهان و دندان، داروهای ضد باکتری و ضد التهاب را به شما تجویز کنند تا به کنترل باکتری‌های موجود در دهان و جلوگیری از پیشرفت بیشتر بیماری‌ لثه کمک کنید.

به هر حال، برای درمان بیماری‌ لثه، بهتر است با دندانپزشک معالج خود مشورت کنید تا روش مناسب برای شما تعیین شود و از تأخیر درمان جلوگیری شود.

برای اطلاعات بیشتر درباره بیماری لثه، علل، علائم و روش‌های درمان آن، می‌توانید به مقاله معتبر کلینیک مایو مراجعه کنید.

علت ابتلا به بیماری لثه چیست؟

بیماری لثه یا بیماری پریودنتال در اثر تجمع پلاک باکتریایی در خط لثه ایجاد می‌شود. این پلاک چسبنده حاوی باکتری‌هایی است که در صورت عدم رعایت بهداشت دهان و دندان، منجر به التهاب بافت‌های لثه می‌گردد. عواملی مانند سیگار کشیدن، دیابت، تغییرات هورمونی، استرس، ژنتیک و استفاده نامنظم از نخ دندان می‌توانند خطر ابتلا به بیماری لثه را افزایش دهند. همچنین، تغذیه نامناسب و مصرف برخی داروها می‌توانند بر وضعیت لثه‌ها تأثیر منفی بگذارند.


مراحل بیماری لثه چیست؟

بیماری لثه در دو مرحله اصلی پیشرفت می‌کند:
۱. ژنژیویت (Gingivitis): این مرحله اولیه با علائمی مانند قرمزی، تورم و خونریزی لثه همراه است. در این مرحله، بیماری لثه هنوز به استخوان نگهدارنده دندان نفوذ نکرده و کاملاً قابل درمان است.
۲. پریودنتیت (Periodontitis): در صورت عدم درمان ژنژیویت، باکتری‌ها به عمق بافت لثه نفوذ کرده و منجر به تخریب استخوان و بافت نگهدارنده دندان می‌شوند. این مرحله می‌تواند منجر به لق شدن یا حتی از دست دادن دندان شود.


درمان ژنژیویت و پریودنتیت چیست؟

برای درمان ژنژیویت، رعایت دقیق بهداشت دهان، استفاده از نخ دندان، دهان‌شویه‌های آنتی‌باکتریال و جرم‌گیری دندان در مطب دندانپزشکی کافی است.
اما درمان پریودنتیت پیچیده‌تر است و ممکن است شامل جرم‌گیری عمقی (Scaling & Root Planing)، مصرف آنتی‌بیوتیک‌های موضعی یا خوراکی، و در موارد پیشرفته، جراحی‌های لثه مانند فلپ‌سورجری و پیوند استخوان باشد. در هر دو حالت، مراجعه منظم به دندانپزشک برای پیشگیری از پیشرفت بیماری لثه ضروری است.


اگر بیماری لثه را درمان نکنیم چه اتفاقی می‌افتد؟

درمان‌نکردن بیماری لثه می‌تواند پیامدهای جدی و برگشت‌ناپذیری داشته باشد. پیشرفت بیماری منجر به از بین رفتن استخوان فک، لق شدن دندان‌ها، تحلیل لثه و نهایتاً از دست دادن دندان می‌شود. همچنین، بیماری لثه با مشکلات سیستمیک مانند بیماری‌های قلبی، دیابت و تولد نوزاد نارس ارتباط مستقیم دارد. درمان به موقع نه تنها سلامت دهان بلکه سلامت کل بدن را تضمین می‌کند.


درمان لثه سیاه

تغییر رنگ لثه و سیاه شدن آن می‌تواند به دلایل مختلفی مانند ژنتیک، استعمال دخانیات، ملانین بالا، یا بیماری‌های زمینه‌ای رخ دهد. درمان لثه سیاه بسته به علت آن متفاوت است. در مواردی که مسئله زیبایی مطرح است، روش‌هایی مانند لیزر درمانی (Depigmentation) برای حذف رنگ‌دانه‌های اضافی به‌کار می‌رود. ترک سیگار نیز نقش مهمی در بازگشت رنگ طبیعی لثه دارد. مشاوره با دندانپزشک برای تشخیص دقیق علت تغییر رنگ ضروری است.


سفید شدن لثه: دلایل و درمان

سفید شدن لثه‌ها می‌تواند نشانه‌ای از عفونت قارچی (مانند برفک دهان)، کم‌خونی، آفت دهانی یا واکنش به داروها باشد. گاهی نیز زخم‌های ناشی از ضربه یا سوختگی شیمیایی باعث سفید شدن موقت ناحیه‌ای از لثه می‌شود. درمان سفید شدن لثه بستگی به علت آن دارد؛ در موارد قارچی، داروهای ضدقارچ تجویز می‌شود و در صورت وجود کم‌خونی، اصلاح تغذیه و مصرف مکمل‌های آهن کمک‌کننده است. مراجعه به دندانپزشک برای بررسی دقیق‌تر توصیه می‌شود.


عقب رفتگی لثه یا تحلیل لثه

تحلیل لثه به وضعیتی گفته می‌شود که در آن بافت لثه به سمت ریشه دندان عقب می‌رود و بخش بیشتری از دندان نمایان می‌شود. این وضعیت ممکن است در اثر مسواک زدن خشن، ژنتیک، بیماری لثه، یا دندان‌قروچه ایجاد شود. درمان آن شامل جرم‌گیری عمقی، استفاده از محافظ شبانه (برای دندان‌قروچه)، و در موارد شدید، پیوند لثه (Gum Grafting) است. تحلیل لثه اگر درمان نشود، می‌تواند منجر به حساسیت شدید و از دست دادن دندان شود.


آبسه دندان

آبسه دندان عفونتی چرکی است که معمولاً در اثر پیشرفت پوسیدگی، ضربه، یا بیماری لثه شدید ایجاد می‌شود. این عفونت ممکن است در نوک ریشه دندان یا در لثه ظاهر شود و با درد شدید، تورم و تب همراه باشد. درمان آبسه شامل تخلیه چرک، مصرف آنتی‌بیوتیک و در صورت نیاز، درمان ریشه یا کشیدن دندان است. مراجعه فوری به دندانپزشک برای جلوگیری از گسترش عفونت بسیار مهم است.


جرم‌گیری دندان برای درمان بیماری لثه

جرم‌گیری دندان یکی از مهم‌ترین روش‌های پیشگیری و درمان بیماری لثه است. در این فرآیند، پلاک و جرم تجمع یافته در اطراف دندان و زیر لثه با ابزارهای مخصوص پاک می‌شود. جرم‌گیری از التهاب، خونریزی و پیشرفت بیماری لثه جلوگیری کرده و به بازسازی سلامت بافت لثه کمک می‌کند. انجام منظم جرم‌گیری (هر ۶ ماه یک بار) به همراه رعایت بهداشت دهان، پایه‌ای‌ترین قدم در حفظ سلامت لثه‌هاست.

1404 بازید
21
ترمیم دندان شکستهترمیم دندان شکسته۱۴۰۳-۰۵-۰۲
مراقبت های بعد از ایمپلنت دندان۱۴۰۳-۰۵-۰۲مراقبت های بعد از ایمپلنت دندان

نوشته های مرتبط

مقالات
۱۴۰۴-۰۹-۲۹

ترمیم دندان سیاه شده جلو

ادامه مطلب
مقالات
۱۳۹۸-۰۵-۱۵

جراحی لثه

ادامه مطلب
مقالات
۱۴۰۴-۰۴-۲۲

هزینه ترمیم دندان لب پر شده

ادامه مطلب
مقالات
۱۴۰۴-۰۵-۲۸

دندانپزشکی تخصصی زیبایی

ادامه مطلب

دیدگاهتان را بنویسید لغو پاسخ

نشانی ایمیل شما منتشر نخواهد شد. بخش‌های موردنیاز علامت‌گذاری شده‌اند *

نوشته‌های تازه
  • عوارض کشیدن دندان برای بیماران قلبی
  • نام آمپول بی‌حسی برای بیماران قلبی
  • دندانپزشکی بعد از آنژیوگرافی
  • هزینه کشیدن دندان با بیهوشی
  • درمان دندان درد در بیماران قلبی

لینک‌های مهم

ایمپلنت دیجیتال

ایمپلنت کره‌ای

جرم‌گیری دندان

روکش دندان

ترمیم دندان

اطلاعات تماس
  • تهران، خیابان ولیعصر، خیابان توانیر، روبروی بیمارستان دی، ساختمان پزشکان 18، طبقه اول
  • ۰۹۹۱۲۹۵۳۸۸۵ - ۰۲۱۸۸۷۸۱۹۷۸
  • شنبه - پنجشنبه: 10 الی 19 
Whatsapp Telegram
مسیر ارتباطی

© تمامی حقوق این وب سایت متعلق به مطب تخصصی دندانپزشکی دکتر کندری می باشد.

#medify_button_697acc9dd9d75 { color: rgba(255,255,255,1); }#medify_button_697acc9dd9d75:hover { color: rgba(255,255,255,1); }#medify_button_697acc9dd9d75 { border-color: rgba(241,102,35,1); background-color: rgba(241,102,35,1); }#medify_button_697acc9dd9d75:hover { border-color: rgba(46,46,146,1); background-color: rgba(46,46,146,1); }#medify_button_697acc9dd9d75 { border-radius: 0px; }