
دندان عقل شماره چند است؟
دندان عقل شماره چند است؟ اگر شما هم موقع مراجعه به دندانپزشک شنیدهاید که باید «دندان شماره ۱۸ یا ۴۸» کشیده شود و با تعجب پرسیدهاید منظور کدام دندان است، تنها نیستید. خیلی از بیماران دقیقاً همین سؤال را دارند، چون نمیدانند دندان عقل در کدام جایگاه دهان قرار دارد و چرا در پروندههای پزشکی با عدد مشخص میشود.
دندان عقل که به آن مولر سوم یا دندان آسیای انتهایی هم میگویند، آخرین دندانی است که در فک رشد میکند و معمولاً بین ۱۷ تا ۲۵ سالگی بیرون میزند.
به همین دلیل هم اغلب با مشکلاتی مثل نهفتگی، التهاب لثه، درد شدید، فشار به دندانهای کناری و حتی عفونت همراه میشود. حالا تصور کنید پزشک به شما بگوید «دندان شماره ۳۸ دچار نهفتگی است»؛ اگر ندانید دندان عقل شماره چند است، ممکن است دچار سردرگمی و نگرانی شوید.
اینجاست که اهمیت شناخت سیستمهای شمارهگذاری دندانها مثل FDI، پالمر و یونیورسال مشخص میشود. وقتی بدانید هر دندان عقل چه شمارهای دارد، خواندن عکسهای OPG و CBCT برایتان سادهتر خواهد شد و دقیقاً متوجه میشوید دندانپزشک درباره کدام دندان صحبت میکند.
این آگاهی به شما آرامش میدهد و کمک میکند با اطمینان بیشتری روند درمان یا حتی جراحی دندان عقل را دنبال کنید.
اگر همیشه برات سؤال بوده که دندان عقل دقیقاً کجای دهان قرار دارد و چرا گاهی باعث درد، التهاب یا حتی نیاز به جراحی میشود، بهتر است همین ابتدا نگاه دقیقی به آن بیندازی. نکته اینجاست که همه چیز فقط به «شمارهگذاری» ختم نمیشود و جزئیاتی وجود دارد که دانستن آنها میتواند در تصمیمگیری برای درمان تفاوت بزرگی ایجاد کند.
تعریف علمی دندان عقل شماره چند است
دندان عقل شماره چند است؟ از نظر علمی به این دندان، مولر سوم یا همان دندان آسیای بزرگ انتهایی گفته میشود. این دندانها در آخرین ردیف هر فک قرار دارند و معمولاً چهار عدد از آنها در دهان وجود دارد؛ دو دندان در فک بالا و دو دندان در فک پایین.
دندان عقل به دلیل موقعیت انتهاییاش اهمیت ویژهای دارد، زیرا بیشتر از سایر دندانها دچار نهفتگی، التهاب لثه، فشار به دندانهای کناری و عفونت میشود. آشنایی با تعریف دقیق و جایگاه این دندان کمک میکند بیمار راحتتر متوجه شود دندان عقل شماره چند است و چرا در عکسهای OPG یا گزارشهای دندانپزشکی با اعداد خاصی شناخته میشود.
در واقع، دندان عقل آخرین عضو ردیف دندانهای دائمی است که معمولاً بین سنین ۱۷ تا ۲۵ سالگی رشد میکند و دانستن شماره آن برای تشخیص و درمانهای دندانپزشکی بسیار مهم است.
سیستم شمارهگذاری دندانها در دندانپزشکی
برای اینکه بیمار و دندانپزشک زبان مشترکی داشته باشند و دقیقاً مشخص شود هر دندان کجای دهان قرار دارد، سیستمهای شمارهگذاری دندان طراحی شدهاند. وقتی کاربر میپرسد دندان عقل شماره چند است، پاسخ بسته به نوع سیستم شمارهگذاری متفاوت خواهد بود. سه روش اصلی در جهان وجود دارد:
-
سیستم جهانی FDI: متداولترین روش در ایران و بسیاری از کشورها است. در این سیستم هر دندان با یک عدد دو رقمی مشخص میشود. مثلاً دندان عقل بالا راست شماره ۱۸ و دندان عقل پایین چپ شماره ۳۸ است.
-
روش پالمر (Palmer Notation): بیشتر در انگلستان استفاده میشود. در این روش دندانها با اعداد ۱ تا ۸ و علامتهای مخصوص هر ربع نشان داده میشوند. دندان عقل در این روش همیشه با عدد ۸ شناخته میشود.
-
روش یونیورسال (Universal Numbering System): در آمریکا کاربرد دارد. در این روش دندانها از ۱ تا ۳۲ شمارهگذاری میشوند و دندانهای عقل شماره ۱، ۱۶، ۱۷ و ۳۲ هستند.
شناخت این روشها کمک میکند بیمار هنگام دیدن عکس OPG یا شنیدن توضیحات پزشک، دقیقاً بداند دندان عقل شماره چند است و دچار سردرگمی نشود. این آگاهی هم در درک مشکلاتی مانند نهفتگی یا التهاب لثه مؤثر است و هم باعث میشود ارتباط بیمار و دندانپزشک سادهتر و دقیقتر باشد.

شمارهگذاری مولر سوم در فک بالا و پایین با نمای واقعی
دندان عقل شماره چند است در سیستم FDI (دو رقمی)
در سیستم جهانی FDI دهان به چهار ربع تقسیم میشود؛ فک بالا سمت راست (۱۰۰)، فک بالا سمت چپ (۲۰۰)، فک پایین سمت چپ (۳۰۰) و فک پایین سمت راست (۴۰۰). در هر ربع، شمارهگذاری دندانها از وسط دهان شروع میشود و تا انتها ادامه دارد. بر این اساس:
-
دندان عقل بالا راست شماره ۱۸ است.
-
دندان عقل بالا چپ شماره ۲۸ است.
-
دندان عقل پایین چپ شماره ۳۸ است.
-
دندان عقل پایین راست شماره ۴۸ است.
بنابراین وقتی میپرسیم دندان عقل شماره چند است، در سیستم FDI پاسخ روشن و دقیق این است که دندانهای عقل با اعداد ۱۸، ۲۸، ۳۸ و ۴۸ مشخص میشوند.
دانستن این شمارهها باعث میشود بیمار هنگام مشاهده عکس OPG یا شنیدن نظر دندانپزشک درباره مشکلاتی مثل نهفتگی، التهاب لثه یا فشار به دندانهای کناری، دقیقاً متوجه شود کدام دندان مورد نظر است.
در نتیجه آگاهی از این شمارهگذاری کمک میکند هم بیمار پاسخ پرسش «دندان عقل شماره چند است» را بداند و هم با آرامش بیشتری روند درمان خود را دنبال کند.
دندان عقل شماره چند است در سیستم پالمر (Palmer Notation)
در روش پالمر، دهان به چهار ربع تقسیم میشود و برای هر ربع یک علامت شبیه کروشه در نظر گرفته میشود. شمارهگذاری دندانها از وسط دهان شروع شده و با عدد ۸ به انتهای فک میرسد. بنابراین در این سیستم، دندان عقل همیشه با عدد ۸ شناخته میشود و جایگاه آن بهصورت زیر مشخص میشود:
-
بالا راست: ┘۸
-
بالا چپ: └۸
-
پایین راست: ┐۸
-
پایین چپ: ┌۸
کاربرد بالینی این روش بیشتر در انگلستان و برخی کشورهاست و به دلیل سادهبودن علامتگذاری، هنوز هم در بسیاری از کلینیکها استفاده میشود. حالا اگر بپرسیم دندان عقل شماره چند است، در سیستم پالمر پاسخ این است که همه دندانهای عقل با عدد ۸ مشخص میشوند و تنها تفاوت آنها در علامت کروشه است.
این شیوه کمک میکند بیمار هنگام مطالعه پرونده یا شنیدن توضیحات دندانپزشک، سریعتر متوجه جایگاه دندان عقل شود و ارتباط واضحتری با پزشک داشته باشد. به این ترتیب، دانستن اینکه دندان عقل شماره چند است در سیستم پالمر، نقش مهمی در درک صحیح تشخیص و درمان دارد.

نمای واقعی معاینه مولر سوم با آینه دندانپزشکی
دندان عقل شماره چند است در سیستم یونیورسال (آمریکا)
در سیستم یونیورسال که بیشتر در آمریکا استفاده میشود، شمارهگذاری دندانها از دندان بالا سمت راست با شماره ۱ آغاز شده و بهترتیب در کل دهان ادامه پیدا میکند تا به دندان پایین سمت راست با شماره ۳۲ برسد. در این روش، دندانهای عقل بهصورت زیر مشخص میشوند:
-
دندان عقل بالا راست: ۱
-
دندان عقل بالا چپ: ۱۶
-
دندان عقل پایین چپ: ۱۷
-
دندان عقل پایین راست: ۳۲
بنابراین اگر بخواهیم بدانیم دندان عقل شماره چند است، در سیستم یونیورسال پاسخ دقیق این است که دندانهای عقل با شمارههای ۱، ۱۶، ۱۷ و ۳۲ شناخته میشوند.
این روش باعث میشود هم دندانپزشک و هم بیمار بتوانند بهسادگی جایگاه دندان را روی عکس OPG یا CBCT تشخیص دهند. دانستن این شمارهها کمک میکند بیمار هنگام توضیحات پزشک درباره مشکلات شایعی مثل نهفتگی یا فشار به دندانهای کناری، دچار سردرگمی نشود.
در نتیجه آگاهی از اینکه دندان عقل شماره چند است در سیستم یونیورسال، هم برای تشخیص و هم برای درمان اهمیت بالایی دارد.

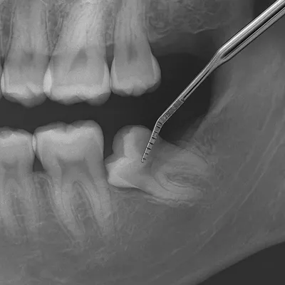
رادیوگرافی دقیق مولر سوم نهفته با پروب دندانپزشکی
چرا دانستن شماره دندان عقل اهمیت دارد؟
شناخت اینکه دندان عقل شماره چند است فقط یک موضوع آموزشی ساده نیست، بلکه در روند درمانی و تشخیصی نقش مستقیم دارد. وقتی شماره دقیق دندان عقل مشخص باشد، ثبت اطلاعات در پرونده دندانپزشکی دقیقتر انجام میشود و احتمال اشتباه در درمان کاهش مییابد.
این موضوع بهویژه در جراحی دندان عقل، کشیدن دندان نهفته یا بررسی التهاب لثه اهمیت زیادی دارد. علاوه بر این، در زمان مشاهده تصاویر رادیوگرافی مانند OPG و CBCT، دانستن شماره هر دندان کمک میکند هم بیمار و هم دندانپزشک متوجه شوند مشکل دقیقاً مربوط به کدام ناحیه است.
اگر بیمار نداند دندان عقل شماره چند است، ممکن است هنگام توضیحات پزشک دچار سردرگمی شود و روند درمان با نگرانی همراه شود. آگاهی از این شمارهها در نهایت مانع بروز خطاهای درمانی میشود و باعث میگردد بیمار با آرامش و اطمینان بیشتری مسیر درمان خود را دنبال کند.
نکات تکمیلی درباره دندان عقل
دندان عقل معمولاً آخرین دندان دائمی است که بین سنین ۱۷ تا ۲۵ سالگی رویش میکند. همین زمان دیرهنگام رویش، دلیل اصلی بسیاری از مشکلات شایع مانند نهفتگی، التهاب لثه، عفونت و فشار به دندانهای کناری است.
وقتی بیمار بداند دندان عقل شماره چند است، بهتر میتواند در گزارشهای پزشکی و تصاویر رادیوگرافی مثل OPG یا CBCT جایگاه دقیق این دندان را تشخیص دهد.
شمارهگذاری باعث میشود ارتباط بین بیمار و دندانپزشک شفافتر باشد و درک بهتری از علت درد یا لزوم جراحی ایجاد شود. در واقع، دانستن اینکه دندان عقل شماره چند است به بیمار کمک میکند هم مشکلات احتمالی را سریعتر بشناسد و هم روند درمان را با اطمینان بیشتری دنبال کند.

نمای بالینی واضح مولر سوم در دهان باز
جدول خلاصه «دندان عقل شماره چند است» در FDI، پالمر و یونیورسال
نتیجهگیری
اکنون پاسخ پرسش اصلی روشن شد: دندان عقل شماره چند است بستگی به نوع سیستم شمارهگذاری دارد. در سیستم FDI دندانهای عقل با اعداد ۱۸، ۲۸، ۳۸ و ۴۸ مشخص میشوند، در روش پالمر همگی با عدد ۸ و علامتهای جهتدار شناخته میشوند و در سیستم یونیورسال شمارههای ۱، ۱۶، ۱۷ و ۳۲ به دندان عقل اختصاص دارد.
دانستن این تفاوتها باعث میشود بیمار و دندانپزشک هنگام بررسی مشکلات شایعی مثل نهفتگی دندان عقل، التهاب لثه یا فشار به دندانهای کناری، دقیقاً متوجه شوند کدام دندان آسیای سوم یا همان مولر سوم مدنظر است.
شناخت شمارهگذاری دندان عقل نهتنها در تکمیل پروندههای پزشکی اهمیت دارد، بلکه هنگام تفسیر عکس OPG و CBCT هم به بیمار کمک میکند جایگاه دقیق دندان آسیای انتهایی در بالا و پایین را بشناسد.
بنابراین اگر میخواهید ارتباطی شفافتر با دندانپزشک داشته باشید و از بروز خطا در درمان جلوگیری کنید، لازم است همیشه بدانید شماره دندان عقل در سیستمهای مختلف کدام است. این آگاهی ساده میتواند مسیر درمان شما را کوتاهتر، دقیقتر و مطمئنتر کند.
سوالات متداول درباره «دندان عقل شماره چند است»
دندان عقل در هر فک چند تاست و شماره آنها چه تفاوتی دارد؟
معمولاً چهار دندان عقل وجود دارد؛ دو دندان در فک بالا و دو دندان در فک پایین. شماره آنها بسته به سیستم شمارهگذاری تغییر میکند؛ مثلاً در FDI با اعداد ۱۸، ۲۸، ۳۸ و ۴۸ مشخص میشوند، درحالیکه در یونیورسال ۱، ۱۶، ۱۷ و ۳۲ هستند.
آیا همه افراد دندان عقل با همین شمارهها دارند؟
خیر. بعضی افراد بهطور ژنتیکی یک یا چند دندان عقل ندارند. در این موارد، شماره دندان عقل در جدول وجود دارد اما ممکن است آن دندان در دهان فرد رویش نکند یا کاملاً غایب باشد.
چرا دندان عقل را در گزارش رادیوگرافی با شماره مینویسند؟
وقتی روی عکس OPG یا CBCT بررسی انجام میشود، دندانپزشک باید دقیقاً مشخص کند مشکل مربوط به کدام دندان است. استفاده از شمارهگذاری، ابهام را برطرف میکند و از اشتباه در تشخیص یا جراحی جلوگیری میشود.
دندان عقل نهفته چه شمارهای دارد؟
حتی اگر دندان عقل نهفته باشد و رویش نکرده باشد، باز هم در سیستم شمارهگذاری جایگاه مشخصی دارد. مثلاً دندان عقل پایین راست چه نهفته باشد چه بیرون زده، در سیستم FDI شماره ۴۸ است.
آیا شماره دندان عقل در فک بالا با فک پایین فرق دارد؟
بله، در هر سیستم شمارهگذاری اعداد فک بالا با فک پایین متفاوت هستند. بهطور ساده میتوان گفت هر فک دو دندان عقل دارد که شماره آنها از دیگر دندانها متمایز است. این تمایز به دندانپزشک کمک میکند موقع درمان یا جراحی اشتباه نکند.
چرا باید بدانم دندان عقل شماره چند است؟
وقتی شما هم مثل دندانپزشک با شمارهها آشنا باشید، بهتر متوجه توضیحات مربوط به مولر سوم یا دندان آسیای سوم میشوید. این آگاهی کمک میکند در زمان درمان مشکلاتی مثل عفونت، التهاب یا فشار به دندانهای کناری، ارتباط راحتتری با پزشک داشته باشید.





