
10 نکته طلایی درباره لمینت دندان تهران که باید بدانید!
قیمت لمینت دندان تهران بهصورت قسطی چقدر میباشد؟
لمینت دندان تهران یکی از روشهای پرطرفدار برای زیباسازی لبخند است که هزینه آن به عوامل مختلفی بستگی دارد. قیمت لمینت دندان در تهران معمولاً به نوع لمینت (سرامیکی یا کامپوزیتی)، تعداد دندانهای مورد نظر، تخصص و مهارت دندانپزشک، و تجهیزات استفادهشده در مطب بستگی دارد.
در حال حاضر، هزینه هر واحد لمینت سرامیکی در تهران معمولاً بین 3 تا 7 میلیون تومان و لمینت کامپوزیتی بین 1.5 تا 3 میلیون تومان متغیر است. این ارقام ممکن است با توجه به منطقه مطب، تجربه دندانپزشک، و برند مواد مصرفی تغییر کند.
برای افرادی که به دنبال پرداخت قسطی هستند، بسیاری از کلینیکهای دندانپزشکی در تهران خدمات پرداخت اقساطی ارائه میدهند. معمولاً برای پرداخت قسطی، یک مبلغ اولیه بهعنوان پیشپرداخت (معمولاً 30 تا 50 درصد کل هزینه) پرداخت میشود و مابقی طی چند ماه بهصورت قسطی تسویه میشود.
این شرایط به بیمار کمک میکند تا بدون فشار مالی زیاد، از خدمات زیبایی دندان بهرهمند شود. برای دریافت قیمت دقیق و شرایط قسطی، مراجعه به کلینیک و انجام مشاوره حضوری ضروری است.

لمینت دندان تهران
هزینه لمینت طرح لبخند در ونک تهران؛ لبخندی خاص با قیمتی مقرونبهصرفه
لمینت طرح لبخند یکی از روشهای محبوب در دندانپزشکی زیبایی است که لبخندی جذاب، هماهنگ و درخشان به شما هدیه میدهد. در منطقه ونک تهران، کلینیکهای دندانپزشکی معتبر با استفاده از مواد باکیفیت و تخصص حرفهای، خدمات لمینت طرح لبخند را ارائه میدهند.
هزینه این روش به عوامل متعددی مانند تعداد دندانهایی که نیاز به لمینت دندان دارند، نوع لمینت (سرامیکی یا کامپوزیتی)، و مهارت دندانپزشک بستگی دارد. بهطور معمول، هزینه هر واحد لمینت در این منطقه برای لمینت سرامیکی بین 3.5 تا 7 میلیون تومان و برای لمینت کامپوزیتی بین 1.5 تا 3 میلیون تومان متغیر است.
اگر قصد دارید طرح لبخندی زیبا و متناسب با چهره خود داشته باشید، مراجعه به کلینیکهای تخصصی در ونک یک انتخاب عالی است. بسیاری از مراکز دندانپزشکی تهران، به ویژه در مناطق مرکزی و شمالی شهر مانند ونک، خدمات باکیفیتی را برای لمینت دندان تهران ارائه میدهند.
برخی از این مراکز خدمات مشاوره رایگان و حتی شرایط پرداخت قسطی را برای بیماران فراهم میکنند، تا تجربهای راحت و بیدغدغه داشته باشید. اگر به دنبال گزینهای قابل اعتماد برای لمینت دندان تهران هستید، همین حالا با دندانپزشک مورد اعتماد خود تماس بگیرید و قدم اول را برای لبخندی خاص بردارید!

لمینت دندان: راهی سریع به لبخندی زیبا
| مارک لمینت دندان تهران | قیمت لمینت (تومان) | ضمانت (سال) |
|---|---|---|
| لمینت سرامیکی Emax | از 8,800,000 | 10 |
| لمینت گلاس پرسلین | از 9,800,000 | 15 |
| لمینت برتر ایمکس | از 10,800,000 | 15 |
| لمینت Real Bright | از 1,200,000 | 15 |
| لمینت کوارتز | از 9,200,000 | 10 |
| لمینت لومینیرز پلاس | از 10,200,000 | 10 |
قیمت لمینت طرح لبخند در ونک تهران؛ خدمات ویژه برای لبخندی خاص
لمینت طرح لبخند یکی از محبوبترین روشهای زیبایی در دندانپزشکی است که برای بهبود ظاهر دندانها و ایجاد لبخندی جذاب و هماهنگ به کار میرود. در منطقه ونک تهران، کلینیکهای دندانپزشکی معتبر با استفاده از جدیدترین تکنولوژیها و مواد باکیفیت، خدمات لمینت دندان را ارائه میدهند.
این خدمات شامل لمینت سرامیکی و کامپوزیتی است که هر کدام بسته به نیاز و ترجیح بیمار انتخاب میشوند. هزینه هر واحد لمینت سرامیکی در این منطقه معمولاً بین 3.5 تا 7 میلیون تومان و لمینت کامپوزیتی بین 1.5 تا 3 میلیون تومان متغیر است.
تهران بهعنوان یکی از مراکز اصلی دندانپزشکی در ایران، گزینههای متنوعی برای انجام لمینت دندان در اختیار شما قرار میدهد. بسیاری از کلینیکهای دندانپزشکی در ونک و مناطق دیگر تهران خدمات مشاوره رایگان و شرایط پرداخت قسطی را فراهم کردهاند تا بیماران بتوانند با خیالی آسوده و بدون فشار مالی، لبخندی زیبا داشته باشند. اگر به دنبال بهترین کیفیت و خدمات حرفهای هستید، ونک تهران یک انتخاب ایدهآل برای انجام لمینت دندان است. همین حالا اقدام کنید و به لبخندی خیرهکننده دست یابید!
لمینت فوری دندان چیست؟
لمینت فوری دندان یک روش موقت و ساده برای بهبود ظاهر دندانها است که معمولاً بدون نیاز به قالبگیری حرفهای در کلینیک دندانپزشکی انجام میشود. این نوع لمینتها بهصورت آماده در داروخانهها یا فروشگاههای محصولات دندانپزشکی عرضه میشوند و افراد میتوانند با استفاده از چسب مخصوص، آنها را بهطور موقت روی دندانهای خود نصب کنند.
لمینت فوری برای استفاده در رویدادهای خاص یا زمانی که به لبخندی سریع نیاز دارید مناسب است. با این حال، این روش بههیچوجه جایگزین لمینتهای حرفهای نیست، زیرا از نظر استحکام، ماندگاری و تطابق با ساختار دندان قابل مقایسه با روشهای دائمی در کلینیک نیست. اگرچه کاربرد آسان و هزینه پایین از مزایای آن است، اما برای استفاده طولانیمدت توصیه نمیشود و بهتر است برای درمانهای اساسی به دندانپزشک مراجعه کنید.
در تهران، بسیاری از افراد به دنبال لمینت دندان تهران هستند تا لبخندی ماندگار و حرفهای داشته باشند. اگرچه لمینت فوری ممکن است بهعنوان یک راهحل سریع در نظر گرفته شود، اما مراجعه به کلینیکهای حرفهای برای انجام لمینت دندان تهران انتخاب بهتری است، چرا که کیفیت و ماندگاری بیشتری را تضمین میکند.
لمینت دندان قسطی چگونه است؟
لمینت دندان تهران قسطی راهکاری مناسب برای افرادی است که میخواهند بدون فشار مالی، لبخندی زیبا داشته باشند. بسیاری از کلینیکهای دندانپزشکی در تهران این امکان را فراهم کردهاند که هزینه لمینت را در دورههای زمانی مختلف مانند سهماهه، ششماهه یا دوازدهماهه پرداخت کنید. معمولاً برای استفاده از این شرایط، یک پیشپرداخت اولیه (حدود 30 تا 50 درصد کل هزینه) و ارائه چکهای معتبر برای باقیمانده مبلغ الزامی است.
این روش پرداخت به شما این امکان را میدهد که با مدیریت بهتر بودجه، بدون نگرانی از هزینههای سنگین، لمینت دندان را انجام دهید و از زیبایی لبخند خود لذت ببرید. اگر به دنبال لمینت دندان تهران هستید، بسیاری از کلینیکهای این شهر شرایط پرداخت قسطی و مشاوره رایگان را نیز ارائه میدهند، که میتواند تجربهای راحت و بدون دغدغه برای شما فراهم کند. پیش از اقدام، شرایط هر کلینیک را بررسی کنید تا بهترین گزینه را انتخاب کنید.
جدول هزینه و شرایط پرداخت قسطی لمینت دندان
| نام مارک لمینت | جمع کل هزینه لمینت دو فک (تومان) | مبلغ پیش پرداخت (تومان) | مبلغ قسط (تومان) |
|---|---|---|---|
| لمینت سرامیکی Emax | 185,000,000 | 92,500,000 | 9 عدد چک 10,000,000 |
| لمینت زیرکونیا لوکس | 195,000,000 | 95,000,000 | 10 عدد چک 10,000,000 |
| لمینت سرامیکی Classic | 145,000,000 | 45,000,000 | 10 عدد چک 10,000,000 |
هزینه لمینت کل دهان (فک بالا و پایین)
هزینه لمینت کل دهان، که شامل فک بالا و پایین میشود، به عوامل متعددی مانند نوع لمینت (سرامیکی یا کامپوزیتی)، برند مواد استفادهشده، تعداد دندانها و تخصص دندانپزشک بستگی دارد. برای فک بالا و پایین معمولاً بین 20 تا 28 واحد لمینت نیاز است. هزینه هر واحد لمینت سرامیکی در تهران بهطور متوسط بین 3.5 تا 7 میلیون تومان و لمینت کامپوزیتی بین 1.5 تا 3 میلیون تومان متغیر است.
بنابراین، هزینه لمینت کل دهان ممکن است از 60 میلیون تومان برای لمینت کامپوزیتی تا 200 میلیون تومان برای لمینتهای سرامیکی لاکچری برسد. بسیاری از کلینیکها امکان پرداخت قسطی را نیز فراهم کردهاند تا این روش زیبایی برای بیماران قابل دسترستر باشد.
اگر در تهران به دنبال خدمات حرفهای لمینت دندان هستید، کلینیکهای معتبر در این شهر گزینههای متنوعی برای شما فراهم کردهاند. با انجام لمینت کل دهان، میتوانید لبخندی درخشان و بینقص داشته باشید که تأثیری ماندگار در روابط و اعتمادبهنفس شما ایجاد خواهد کرد.
جدول هزینه لمینت کل دهان
| نام برند | قیمت به تومان | جمع کل دو فک (تومان) |
|---|---|---|
| لمینت سرامیکی Vita | 8,200,000 | 164,000,000 |
| لمینت زیرکونیا پرسلین | 8,700,000 | 174,000,000 |
| لمینت Ultra Glass | 8,900,000 | 178,000,000 |
| لمینت Emax Pro | 10,200,000 | 204,000,000 |
| لمینت Real Smile | 9,700,000 | 194,000,000 |
لمینت دندان خرگوشی چیست؟
لمینت دندان خرگوشی روشی در دندانپزشکی زیبایی است که به منظور ایجاد طرحی خاص و متفاوت برای دندانهای جلویی (معمولاً دو دندان بالایی) استفاده میشود. این نوع لمینت بهطور عمدی اندازه یا فرم دندانهای جلویی را بزرگتر از حالت معمول طراحی میکند تا ظاهری مشابه دندانهای خرگوشی ایجاد شود.
این طراحی میتواند برای افرادی که به دنبال تغییر خاص و جذاب در لبخند خود هستند، گزینهای ایدهآل باشد. همچنین، لمینت دندان خرگوشی میتواند همراه با اصلاح رنگ، شکل و تقارن سایر دندانها انجام شود تا نتیجهای هماهنگ و طبیعی حاصل شود.
قیمت لمینت دندان خرگوشی، بسته به تعداد دندانهای لمینتشده و نوع مواد استفادهشده (سرامیکی یا کامپوزیتی) متغیر است. هزینه هر واحد لمینت سرامیکی در تهران بهطور متوسط بین 3.5 تا 7 میلیون تومان و کامپوزیتی بین 1.5 تا 3 میلیون تومان است. برای طراحی دندان خرگوشی معمولاً دو تا چهار واحد لمینت کافی است، بنابراین هزینه کل این روش میتواند از 6 تا 28 میلیون تومان متغیر باشد.
بسیاری از کلینیکهای معتبر در تهران خدمات لمینت دندان را با استفاده از مواد باکیفیت و طراحی حرفهای ارائه میدهند. برای دریافت نتیجه مطلوب، توصیه میشود این روش را در کلینیکهای حرفهای در تهران انجام دهید تا لبخندی جذاب و ماندگار داشته باشید.
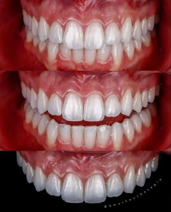
تصاویر لمینت دندان قبل و بعد

لمینت دندان تهران

آیا لمینت دندان درد دارد؟ همه چیز درباره آن
مزایای لمینت دندان
لمینت دندان با پوشاندن نواقص ظاهری مانند تغییر رنگ، شکستگی، ترک و فاصله بین دندانها، لبخندی زیبا و هماهنگ به شما هدیه میدهد. این روش علاوه بر بهبود فوری ظاهر دندانها، با دوام بالا و مقاومت در برابر لکهها، گزینهای ایدهآل برای حفظ زیبایی طولانیمدت است.
لمینت دندان کاملاً طبیعی به نظر میرسد و اعتمادبهنفس شما را در ارتباطات روزمره افزایش میدهد، در حالی که به مینای دندان آسیبی نمیرساند و نیاز به تغییرات گسترده ندارد. اگر به دنبال بهترین نتایج در لمینت دندان هستید، کلینیکهای معتبر در تهران خدمات حرفهای و باکیفیتی ارائه میدهند که به شما اطمینان خاطر و لبخندی ماندگار خواهند بخشید.
مراقبتهای لازم پس از لمینت دندان؛ راز لبخندی ماندگار و درخشان
برای حفظ زیبایی و دوام لمینت دندانها، رعایت مراقبتهای پس از آن ضروری است. از مسواک زدن با خمیردندان غیرساینده و استفاده روزانه از نخ دندان برای تمیزی دقیق بین دندانها غافل نشوید. پرهیز از مصرف خوراکیهای بسیار سخت مانند یخ یا آجیل، و اجتناب از عادات مضر مانند دندان قروچه یا گاز زدن اجسام سخت، به ماندگاری لمینت کمک میکند.
مراجعه منظم به دندانپزشک برای بررسی وضعیت لمینتها و جرمگیری حرفهای نیز بسیار مهم است. همچنین، از مصرف بیشازحد نوشیدنیهای رنگدار مانند قهوه و چای خودداری کنید تا لمینتها شفافیت و رنگ طبیعی خود را حفظ کنند.
کلینیکهای لمینت دندان تهران با ارائه خدمات حرفهای، مشاوره تخصصی و چکاپ دورهای، بهترین گزینه برای نگهداری از لمینتهای شما هستند. با انتخاب یک مرکز معتبر در تهران، میتوانید لبخندی ماندگار، زیبا و جذاب را تجربه کنید!
عوارض احتمالی لمینت دندان و چگونگی پیشگیری و درمان
لمینت دندان یک روش زیبایی محبوب است، اما ممکن است در برخی موارد عوارضی به همراه داشته باشد. از جمله این عوارض میتوان به حساسیت موقت دندانها به سرما و گرما اشاره کرد که معمولاً به دلیل تراشیدن مینای دندان رخ میدهد.
در صورتی که لمینتها بهدرستی نصب نشوند، احتمال تجمع مواد غذایی و افزایش خطر پوسیدگی دندان زیر لمینت وجود دارد. علاوه بر این، افرادی که دندان قروچه دارند یا عادات مضر مانند گاز زدن اجسام سخت دارند، ممکن است با مشکلاتی نظیر ترکخوردگی یا شکستگی لمینت مواجه شوند.
برای پیشگیری از این عوارض، انتخاب یک دندانپزشک حرفهای و معتبر، مانند متخصصانی که در کلینیکهای لمینت دندان تهران فعالیت میکنند، بسیار اهمیت دارد. استفاده از محافظ شبانه برای افرادی که دندان قروچه دارند و رعایت بهداشت دهان و دندان، میتواند به حفظ سلامت لمینتها کمک کند.
همچنین، مراجعه منظم به دندانپزشک برای بررسی وضعیت لمینت و رفع مشکلات احتمالی، باعث ماندگاری و کارایی بهتر آنها میشود. اگر لمینت آسیب ببیند یا دچار مشکلی شود، میتوان با مراجعه به کلینیکهای معتبر در تهران، آن را ترمیم یا تعویض کرد و از لبخندی زیبا و سالم لذت برد.
سوالات متداول درباره لمینت دندان تهران؛ همه آنچه باید بدانید!
1. لمینت دندان چیست و چه کاربردی دارد؟
لمینت دندان لایهای نازک از مواد سرامیکی یا کامپوزیتی است که روی سطح جلویی دندانها قرار میگیرد تا مشکلاتی مانند تغییر رنگ، شکستگی یا فاصله بین دندانها را برطرف کرده و لبخندی زیبا به ارمغان آورد.
2. بهترین دکتر لمینت دندان تهران کیست؟
تهران دارای دندانپزشکان بسیار مجرب و متخصص در زمینه لمینت دندان است. بهعنوان مثال، دکتر کیهان کندری یکی از متخصصان برجسته در این حوزه است که با تجربه و مهارت بالا، خدمات حرفهای لمینت دندان را ارائه میدهد. مراجعه به متخصصانی مانند دکتر کندری میتواند نتایج بینقصی را به همراه داشته باشد.
3. هزینه لمینت دندان تهران چقدر است؟
هزینه لمینت دندان بسته به نوع مواد استفادهشده (سرامیکی یا کامپوزیتی)، تعداد دندانها و تخصص دندانپزشک متفاوت است. بهطور متوسط، هزینه هر واحد لمینت سرامیکی در تهران بین 3.5 تا 7 میلیون تومان و لمینت کامپوزیتی بین 1.5 تا 3 میلیون تومان متغیر است.
4. آیا لمینت دندان به دندانهای طبیعی آسیب میرساند؟
در صورت انجام صحیح و حرفهای، لمینت دندان به دندانهای طبیعی آسیبی نمیرساند. با این حال، انتخاب دندانپزشک مجرب و رعایت مراقبتهای پس از لمینت برای حفظ سلامت دندانها ضروری است.
5. ماندگاری لمینت دندان چقدر است؟
با مراقبت مناسب و رعایت بهداشت دهان و دندان، لمینتهای دندانی میتوانند بین 10 تا 15 سال دوام داشته باشند. مراجعه منظم به دندانپزشک برای چکاپ و تمیزکاری حرفهای نیز به افزایش عمر لمینت کمک میکند.
6. آیا امکان لمینت دندان برای همه افراد وجود دارد؟
بیشتر افراد میتوانند از لمینت دندان بهرهمند شوند، اما افرادی که دندانهای بسیار ضعیف، پوسیدگی شدید یا مشکلات لثه دارند، ممکن است نیاز به درمانهای دیگری داشته باشند. مشاوره با دندانپزشک برای ارزیابی شرایط دهان و دندان ضروری است.
7. مراقبتهای پس از لمینت دندان چیست؟
رعایت بهداشت دهان و دندان، استفاده از مسواک و نخ دندان، پرهیز از مصرف غذاهای سخت و مراجعه منظم به دندانپزشک از جمله مراقبتهای پس از لمینت دندان هستند که به افزایش ماندگاری و زیبایی آن کمک میکنند.
10 نظر در “هزینه لمینت دندان تهران قسطی 1403【همه چیز درباره لمینت 】”
نیما گفت:
سلام، من سه سال پیش پیش شما لمینت سرامیکی انجام دادم. خیلی تحقیق کرده بودم و نگران کیفیت بودم، اما شما کارتون بینظیر بود. هنوز هر کسی لبخندم رو میبینه، میپرسه کجا دندونهات رو درست کردی. خواستم ازتون تشکر کنم که با دقت و حرفهای کار کردید. واقعاً عالی بودید!
پاسخ دکتر کندری:
سلام نیما عزیز، خوشحالم که از خدمات ما راضی بودید. ما همیشه تلاش میکنیم بهترین خدمات رو به بیماران ارائه بدیم. از محبت و اعتماد شما ممنونم.
زهرا گفت:
سلام. من دو سال پیش به پیشنهاد یکی از دوستانم برای لمینت به کلینیک شما مراجعه کردم. دندانهام خیلی زرد و نامرتب بودن، اما الان لبخندم رو خیلی دوست دارم. واقعاً ممنونم بابت کیفیت بالای کار و برخورد حرفهای شما.
پاسخ دکتر کندری:
سلام زهرا خانم عزیز، خوشحالم که نتیجه کار رضایتبخش بوده. امیدوارم همیشه لبخندی زیبا و درخشان داشته باشید. از بازخورد مثبت شما ممنونم.
مهسا گفت:
من هفته پیش پیش شما لمینت دندان انجام دادم و واقعاً از نتیجه کار راضی هستم. دقت و ظرافتی که در کارتون بود، خیلی عالی بود. حتماً شما رو به دیگران معرفی میکنم. ممنون بابت خدمات خوبتون.
پاسخ دکتر کندری:
سلام مهسا خانم، تشکر میکنم که نظر مثبتتون رو با ما به اشتراک گذاشتید. رضایت شما هدف اصلی ماست. ممنون از اعتماد شما!
رضا گفت:
من چند ماه پیش برای لمینت دندان به کلینیک شما اومدم. برخورد پرسنل عالی بود و کیفیت کارتون فوقالعاده. واقعاً خوشحالم که شمارو انتخاب کردم.
پاسخ دکتر کندری:
سلام رضا عزیز، خوشحالم که از خدمات ما رضایت داشتید. امیدوارم همیشه لبخندی زیبا داشته باشید. ممنون از بازخورد خوب شما.
الهام گفت:
من سه ماه پیش پیش شما دندانهام رو لمینت کردم و از همون لحظه نتیجه کار رو خیلی دوست داشتم. مواد خیلی باکیفیت بود و کارتون خیلی دقیق و حرفهای بود. ازتون ممنونم.
پاسخ دکتر کندری:
سلام الهام خانم، ممنون که تجربه خوبتون رو با ما به اشتراک گذاشتید. رضایت شما برای ما ارزشمندترین چیزه. امیدوارم همیشه از لبخندتون لذت ببرید.





