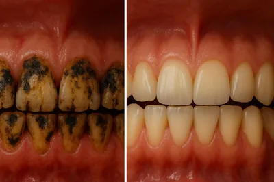
دندان خراب
دندان خراب فقط یک دندان دردناک نیست؛ گاهی نشانهای از یک مشکل عمیقتر در بدن شماست که اگر زود جدیاش نگیرید، میتواند به قیمت از دست دادن دندان، عصبکشیهای دردناک یا حتی عفونتهای خطرناک تمام شود.
تصور کنید شب از خواب میپرید چون درد دندانتان امانتان را بریده، یا موقع حرف زدن بوی بد دهان باعث شده اعتمادبهنفستان را از دست بدهید… این همان کابوس خاموشیست که خیلیها تجربهاش کردهاند و نامش «دندان خراب» است.
بیشتر ما از جایی شروع میکنیم که هیچ علامت خاصی نمیبینیم؛ یک لکه سفید کوچک روی دندان یا کمی حساسیت به شیرینی و سرما که فکر میکنیم چیز مهمی نیست.
اما همین نشانههای کوچک میتوانند آغازگر پوسیدگی دندان باشند که بهمرور به حفرههای عمیق، عفونت لثه، تحلیل استخوان فک و حتی از دست رفتن دندان ختم میشود. نکته تلخ اینجاست که دندان خراب نهتنها ظاهر لبخند را خراب میکند، بلکه روی گوارش، صحبت کردن و حتی سلامت کلی بدن هم تأثیر میگذارد.
در این مقاله دقیقاً همان چیزهایی را میخوانید که بهدنبالش هستید:
از علت اصلی خراب شدن دندان تا نشانههایی که نباید نادیدهشان بگیرید، از جدیدترین روشهای درمان دندان خراب مثل پر کردن، روکش یا ایمپلنت گرفته تا راههای ساده و علمی برای پیشگیری از پوسیدگی. اگر نمیخواهید درد، هزینه و استرس دندان خراب زندگیتان را مختل کند، این راهنما همان نسخهایست که دنبال آن بودید.
در بسیاری از موارد، یک دندان خراب در مراحل پیشرفته تنها با انجام عصبکشی دندان قابل نجات است؛ روشی که میتواند از گسترش عفونت و از دست رفتن کامل دندان جلوگیری کند.
اگر میخواهید بدانید دقیقاً چه زمانی این درمان ضروری میشود و چه نکات مهمی پیش از انجام آن باید بدانید تا از عوارض جدی پیشگیری کنید، مطالعهی این مطلب میتواند برایتان بسیار راهگشا باشد.
دندان خراب چیست و چگونه اتفاق میافتد؟
دندان خراب به دندانی گفته میشود که بر اثر عواملی مثل پوسیدگی دندان، شکستگی، عفونت یا تحلیل بافتهای داخلی، عملکرد طبیعی خود را از دست داده باشد.
این روند معمولاً از زمانی شروع میشود که باکتریهای دهان روی باقیماندههای غذایی تجمع میکنند و با مصرف قند و نشاسته، اسید تولید میکنند.
این اسیدها بهتدریج باعث تخریب مینا شده و یک حفره دندانی سطحی ایجاد میکنند. اگر در این مرحله درمان انجام نشود، پوسیدگی به لایههای عمیقتر نفوذ کرده و حتی میتواند به پالپ برسد و نیاز به عصبکشی یا کشیدن دندان ایجاد کند.
نکته مهم اینجاست که دندان خراب همیشه با درد همراه نیست؛ گاهی روند پوسیدگی بیصدا پیش میرود و تنها با تغییر رنگ، بوی بد دهان یا حساسیت خفیف خودش را نشان میدهد.
تفاوت بین پوسیدگی سطحی و عمیق در همین عمق آسیب است؛ پوسیدگی سطحی معمولاً بهراحتی قابل ترمیم است، اما در مراحل پیشرفته درمان دشوارتر و پرهزینهتر خواهد بود. تشخیص زودهنگام و مراجعه بهموقع به دندانپزشک بهترین راه برای جلوگیری از تخریب کامل دندان است.

دندان خراب و پوسیده در مراحل اولیه
علت خراب شدن دندان
دلایل ایجاد دندان خراب متعدد هستند، اما همگی در نهایت با تخریب تدریجی مینای دندان و آغاز فرآیند پوسیدگی ارتباط دارند. شناخت این عوامل به شما کمک میکند تا از بروز این مشکل پیشگیری کنید:
-
بهداشت نامناسب دهان و دندان: مسواک نزدن منظم و استفاده نکردن از نخ دندان باعث تجمع پلاک باکتریایی و تولید اسید میشود که مینای دندان را تخریب کرده و زمینهساز دندان خراب میشود.
-
مصرف زیاد قند و نوشابه: قند، غذای اصلی باکتریهای دهان است و باعث تولید اسیدهایی میشود که روند پوسیدگی دندان را تسریع کرده و آسیب جدی به مینای دندان وارد میکنند.
-
خشکی دهان و کاهش بزاق: بزاق نقش مهمی در شستوشوی دهان، خنثیسازی اسیدها و محافظت از دندان دارد. کاهش آن شرایط را برای رشد باکتریها و ایجاد دندان خراب فراهم میکند.
-
عوامل ژنتیکی و بیماریهای زمینهای: برخی افراد بهطور ژنتیکی مینای ضعیفتری دارند یا دچار بیماریهایی هستند که خطر پوسیدگی را افزایش میدهد.
-
ترمیمهای قدیمی یا ترکهای میکروسکوپی: این نقاط میتوانند محل تجمع باکتریها شده و در نهایت باعث نفوذ آنها به لایههای زیرین و ایجاد پوسیدگی عمیق شوند.
-
سیگار و الکل: مصرف دخانیات و نوشیدنیهای الکلی ترشح بزاق را کاهش داده، به مینای دندان آسیب میزند و روند پوسیدگی را سرعت میبخشد.
شناخت و کنترل این عوامل، نقش مهمی در پیشگیری از دندان خراب دارد و میتواند سلامت دهان و دندان را برای سالهای طولانی حفظ کند.

درمان دندان خراب با عصبکشی تخصصی
علائم و نشانههای دندان خراب
برای تشخیص سریع دندان خراب، این چکلیست کوتاه و علمی را بررسی کنید؛ اگر هر مورد را دارید، احتمال علائم پوسیدگی بالاست:
-
درد مداوم یا هنگام جویدن: درد دندان ضربانی، بدترشدن شبانه یا هنگام فشار روی دندان.
-
حساسیت به سرما، گرما و شیرینی: حساسیت دندانی که بیش از چند ثانیه بماند و با محرکها تشدید شود.
-
لکههای سفید، قهوهای یا سیاه: تغییر رنگ ثابت یا زبری موضعی روی سطح دندان.
-
بوی بد دهان و طعم ناخوشایند: بهویژه همراه با گیر غذایی؛ نشانه تجمع پلاک و پیشرفت حفره دندان.
-
حفره یا سوراخ قابل لمس/دیدن: گیر کردن غذا، صدای تقتق یا لبه تیز حین عبور زبان.
-
التهاب و تورم لثه اطراف دندان: قرمزی، حساسیت یا خونریزی حاشیه لثه.
-
در مراحل پیشرفته: تب، خروج چرک، تورم صورت (علامت آبسه؛ نیاز به ویزیت فوری).
اگر دو نشانه یا بیشتر دارید، احتمال پیشرفت پوسیدگی زیاد است و برای تشخیص قطعی، معاینه و رادیوگرافی الزامیست. اقدام زودهنگام، درمان مؤثر دندان خراب را ممکن میکند و شانس نیاز به عصبکشی یا کشیدن را کاهش میدهد.

نشانههای دندان خراب و پوسیدگی دندانی
مراحل خراب شدن دندان از ابتدا تا آبسه
برای درک سریع روند تبدیل یک دندان خراب به مشکل پیشرفته، جدول زیر مسیر مراحل پوسیدگی را از آسیب مینایی تا آبسه دندان نشان میدهد. تشخیص زودهنگام، درمان مؤثر و جلوگیری از نیاز به درمان ریشه یا کشیدن را ممکن میکند. اگر چند نشانه را همزمان دارید، دندانپزشک باید فوراً وضعیت دندان خراب را با معاینه و رادیوگرافی ارزیابی کند.
| مرحله | نشانهها | درمان پیشنهادی |
|---|---|---|
| مینایی | لکهٔ سفید، بدون درد | فلورایدتراپی، سیلنت |
| عاجی | حساسیت به سرد/شیرینی | تراش و پرکردن |
| پالپ | درد شبانه، ضرباندار | درمان ریشه + روکش |
| آبسه | تورم، تب، چرک | درناژ، آنتیبیوتیک، ریشه/کشیدن |
درمان دندان خراب
درمان دندان خراب به شدت پوسیدگی و میزان آسیب بستگی دارد و هدف اصلی آن حفظ دندان، جلوگیری از گسترش عفونت و بازگرداندن عملکرد طبیعی است. روشهای درمانی زیر بر اساس مراحل پیشرفت بیماری انتخاب میشوند:
درمان در مراحل اولیه: فلوراید و سیلنت
وقتی پوسیدگی سطحی و محدود به مینای دندان باشد، درمان با فلورایدتراپی میتواند فرآیند تخریب را معکوس کند. همچنین استفاده از سیلنت (مواد محافظ شیارها) مانع تجمع پلاک باکتریایی میشود و روند ترمیم دندان را تسهیل میکند.
پر کردن دندان: وقتی حفره ایجاد شده
در صورت تشکیل حفره دندانی، دندانپزشک بخش پوسیده را برداشته و با مواد ترمیمی مانند کامپوزیت یا آمالگام پر میکند. این روش نهتنها از پیشرفت آسیب جلوگیری میکند، بلکه عملکرد طبیعی دندان را بازمیگرداند.
عصبکشی: زمانی که پوسیدگی به پالپ رسیده
وقتی پوسیدگی به پالپ یا عصب دندان برسد و درد شدید ایجاد کند، عصبکشی ضروری است. در این روش، بافت عفونی خارج میشود، کانالها ضدعفونی شده و پر میشوند تا از گسترش عفونت جلوگیری شود.
روکش دندان: برای دندانهای ضعیف شده
اگر بخش زیادی از دندان از بین رفته باشد یا پس از عصبکشی دیوارههای آن نازک شده باشند، استفاده از روکش دندان ضروری است. روکش مانند یک محافظ از شکستگی جلوگیری کرده و استحکام دندان را افزایش میدهد.
کشیدن دندان: در موارد غیرقابل ترمیم
وقتی دندان خراب بهطور کامل تخریب شده باشد و امکان ترمیم وجود نداشته باشد، کشیدن دندان برای جلوگیری از انتشار عفونت ضروری است. پس از کشیدن باید فوراً برای جایگزینی آن اقدام کرد.
ایمپلنت یا بریج: جایگزینی دندان از دسترفته
برای جایگزینی دندان از دسترفته، ایمپلنت دندان بهترین گزینه است زیرا هم عملکرد طبیعی را بازمیگرداند و هم از تحلیل استخوان جلوگیری میکند. اگر شرایط ایمپلنت فراهم نباشد، استفاده از بریج میتواند راهحل مناسبی باشد.

ترمیم حرفهای دندان خراب با روکش زیرکونیا
جدول زمان و هزینه درمان دندان خراب
| روش درمان | زمان تقریبی | هزینه تقریبی |
|---|---|---|
| پر کردن | ۳۰–۴۵ دقیقه | ۳ تا ۴ میلیون تومان |
| عصبکشی | ۶۰–۹۰ دقیقه | ۳ تا ۶ میلیون تومان |
| روکش تمامسرامیک زیرکونیا | ۷–۱۴ روز | ۹ میلیون تومان |
| ایمپلنت با روکش | ۳–۶ ماه | ۱۴ میلیون تومان |
واقعیت این است که هر دندان خراب مثل یک «بمب ساکت» در دهان عمل میکند؛ شاید امروز فقط کمی درد یا حساسیت حس کنید، اما همین نشانههای کوچک میتوانند در چند هفته به عفونتهای شدید و حتی از دست دادن دندان منجر شوند.
اگر جای شما بودم، قبل از اینکه اوضاع از کنترل خارج شود، نظر یک متخصص را میپرسیدم؛ چون تشخیص درست در همین لحظه میتواند تفاوت بین حفظ دندان و کشیدن آن باشد.
در کلینیک دندانپزشکی دکتر کیهان کندری تمام مراحل بررسی، تشخیص و درمان دندان خراب با تجهیزات دیجیتال و بهروز انجام میشود و بیماران میتوانند حتی قبل از شروع درمان، مشاوره تخصصی رایگان دریافت کنند.
این یک فرصت برای تصمیمگیری آگاهانه است نه تبلیغ؛ فرصتی که ممکن است فقط با یک تماس ساده مسیر درمان شما را عوض کند.
📞 مشاوره فوری با دکتر کیهان کندری
📍 آدرس: تهران، خیابان ولیعصر، خیابان عباسپور، توانیر، ساختمان پزشکان ۱۸، طبقه اول
پیشرفتهای جدید در درمان دندان خراب
فکر میکنید درمان دندان خراب هنوز هم مثل گذشته فقط به پر کردن یا عصبکشی ختم میشود؟ دندانپزشکی مدرن در سالهای اخیر چنان متحول شده که حتی سختترین موارد پوسیدگی هم حالا با دقتی میکرونی و در زمانی بسیار کوتاه درمان میشوند.
اگر تا دیروز عصبکشی یک فرایند طولانی و دردناک بود، امروز با استفاده از میکروسکوپهای دندانی پیشرفته، ریشهها با دقتی چندبرابر تمیز میشوند و احتمال عفونت دوباره تقریباً به صفر میرسد.
در طراحی و ترمیم نیز تکنولوژی وارد میدان شده است. روکشهای تمامسرامیک زیرکونیا با فناوری دیجیتال CAD/CAM طراحی و ساخته میشوند؛ روکشهایی که نهتنها از نظر دوام و زیبایی بیرقیباند، بلکه در یک یا دو جلسه آماده میشوند و نیاز به قالبگیریهای سنتی و وقتگیر را از بین میبرند.
حتی در مورد از دست دادن دندان هم دیگر نیازی نیست ماهها منتظر بمانید. با روشهای نوین مانند ایمپلنت فوری در همان روز کشیدن دندان، میتوان در کمتر از ۲۴ ساعت دندانی جدید را جایگزین کرد — بدون اینکه استخوان تحلیل برود یا لبخندتان ناقص بماند.
این پیشرفتها نشان میدهند که درمان دندان پوسیده دیگر به روشهای قدیمی محدود نیست. دندانپزشکی امروز با ترکیب دانش تخصصی، ابزارهای دیجیتال و فناوریهای نو، درمانهایی ارائه میدهد که هم سریعترند، هم ماندگارتر و هم بسیار راحتتر برای بیمار.
اگر بهدنبال بهترین نتیجه هستید، انتخاب مراکز تخصصی که از این تکنولوژیها استفاده میکنند، نه یک گزینه، بلکه یک ضرورت است.
مقایسه روشهای درمان دندان خراب از نظر ماندگاری و هزینه
وقتی با یک دندان خراب مواجه میشوید، انتخاب بین روشهای مختلف درمانی فقط به شدت پوسیدگی بستگی ندارد؛ باید بدانید هر روش چقدر دوام دارد، چه زمانی نتیجه میدهد و از نظر اقتصادی چقدر برایتان میصرفد.
مقایسهی پر کردن، عصبکشی، روکش دندان و ایمپلنت در یک نگاه به شما کمک میکند بهترین تصمیم را برای درمان بگیرید و از درمانهای پرهزینهی بیفایده دوری کنید.
در جدول زیر، تمام روشهای اصلی درمان دندان پوسیده از نظر مدتزمان، ماندگاری، هزینه و شرایط مناسب مقایسه شدهاند تا بدانید در وضعیت فعلیتان کدام گزینه برای شما بهتر است:
| روش درمان | زمان | ماندگاری | هزینه | بهترین کاربرد |
|---|---|---|---|---|
| پر کردن | ۳۰–۴۵ دقیقه | ۳–۷ سال | ۳ تا ۴ میلیون | پوسیدگی سطحی |
| عصبکشی | ۶۰–۹۰ دقیقه | ۸–۱۲ سال | ۳ تا ۶ میلیون | رسیدن پوسیدگی به عصب |
| روکش | ۷–۱۴ روز | ۷–۱۵ سال | ۹ میلیون | دندان ضعیف شده |
| ایمپلنت | ۳–۶ ماه | ۱۰–۲۰ سال | ۱۴ میلیون | دندان غیرقابل ترمیم |
هزینه درمان دندان خراب در سال ۱۴۰۴
هزینه درمان دندان خراب در سال ۱۴۰۴ بسته به نوع آسیب، مرحله پوسیدگی، روش درمانی و شرایط دهان و دندان متفاوت است. در جدول زیر میتوانید محدوده قیمت رایج هر روش را مشاهده کنید:
| روش درمان | هزینه تقریبی در ۱۴۰۴ | کاربرد اصلی |
|---|---|---|
| پر کردن دندان | ۳ تا ۴ میلیون تومان | پوسیدگیهای سطحی و اولیه |
| عصبکشی | ۳ تا ۶ میلیون تومان | پوسیدگیهای عمیق و درگیری پالپ |
| روکش تمامسرامیک زیرکونیا | ۹ میلیون تومان | دندانهای ضعیف شده یا ترمیم شده |
| ایمپلنت با روکش | ۱۴ میلیون تومان | دندانهای غیرقابل ترمیم یا از دست رفته |
راهنما برای تصمیمگیری:
انتخاب روش درمان به مرحلهی پوسیدگی، میزان آسیب، سلامت لثه و تشخیص نهایی دندانپزشک بستگی دارد. ممکن است درمان شما ترکیبی از چند روش باشد؛ مثلاً عصبکشی همراه با روکش برای حفظ ساختار دندان پوسیده.
مراقبتهای بعد از درمان دندان خراب
رعایت اصول مراقبتی پس از درمان دندان خراب نقش مهمی در موفقیت درمان و جلوگیری از بروز مشکلات مجدد دارد. اگر میخواهید نتایج عصبکشی، روکش دندان یا سایر درمانها ماندگار باشند، این توصیهها را جدی بگیرید:
-
رژیم غذایی نرم: تا چند روز از جویدن غذاهای سفت خودداری کرده و از مصرف نوشیدنیهای بسیار گرم یا سرد بپرهیزید تا از تحریک عصب و شکست ترمیم جلوگیری شود.
-
مسواک و نخ دندان صحیح: مسواک زدن ملایم با خمیر دندان حاوی فلوراید و استفاده روزانه از نخ دندان برای پیشگیری از پوسیدگی مجدد و حفظ سلامت دندان ضروری است.
-
مراجعات منظم هر ۶ ماه: معاینه دورهای به دندانپزشک کمک میکند هرگونه مشکل احتمالی را قبل از جدی شدن تشخیص دهد و از شکست درمان جلوگیری کند.
-
توجه به علائم هشداردهنده: درد مداوم، تورم یا ترشح چرک پس از درمان دندان خراب میتواند نشانهی عفونت یا نیاز به بررسی مجدد باشد؛ در این صورت مراجعه فوری به دندانپزشک ضروری است.
رعایت این مراقبتها عمر درمان را افزایش داده و احتمال نیاز به درمان مجدد یا تعویض روکش دندان را به حداقل میرساند.
پیشگیری از خراب شدن دندان
پیشگیری از دندان خراب سادهتر، کمهزینهتر و مؤثرتر از درمان است. رعایت چند عادت مهم میتواند سلامت دهان را حفظ کرده و احتمال پوسیدگی دندان را به حداقل برساند:
-
مسواک و نخ دندان منظم: روزی دو بار مسواک زدن با خمیر دندان حاوی فلوراید و استفاده روزانه از نخ دندان، پلاکهای باکتریایی را حذف کرده و از تشکیل حفره جلوگیری میکند.
-
استفاده از فلوراید: فلوراید با تقویت مینای دندان، مقاومت آن را در برابر اسیدها بالا میبرد و نقش مهمی در پیشگیری از پوسیدگی دارد.
-
کاهش مصرف قند: کاهش مصرف شیرینیجات، نوشابه و میانوعدههای قندی رشد باکتریها را محدود کرده و خطر ایجاد دندان خراب را کاهش میدهد.
-
درمان خشکی دهان: افزایش ترشح بزاق با نوشیدن آب کافی یا استفاده از آدامس بدون قند به شستوشوی دهان کمک میکند و تعادل محیط دهان را حفظ میکند.
-
جرمگیری و چکاپ منظم: مراجعه هر شش ماه یکبار برای جرمگیری و معاینه حرفهای باعث میشود مشکلات قبل از تبدیل شدن به پوسیدگی جدی شناسایی و درمان شوند.
با رعایت این اصول ساده و مؤثر، میتوانید از بروز دندان خراب جلوگیری کرده و لبخند سالم و ماندگاری داشته باشید.
چه کسانی بیشتر در معرض دندان خراب هستند؟
برخی افراد بهدلیل شرایط جسمی یا سبک زندگی، بیش از دیگران در معرض دندان خراب و پوسیدگی دندان قرار دارند. شناخت این گروهها به شما کمک میکند اقدامات پیشگیرانه را جدیتر دنبال کنید:
-
کودکان: مصرف زیاد شیرینی و نوشیدنیهای قندی و مهارت پایین در مسواکزدن باعث افزایش خطر پوسیدگی در کودکان میشود.
-
سالمندان: تحلیل لثه، قرار گرفتن ریشه دندان در معرض محیط دهان و خشکی دهان ناشی از کاهش ترشح بزاق، سالمندان را مستعد پوسیدگی میکند.
-
بیماران دیابتی: قند خون بالا رشد باکتریها را تسهیل کرده و خطر دندان خراب و عفونتهای دهانی را افزایش میدهد.
-
افراد با ارتودنسی یا دندانهای نامرتب: تجمع پلاک در نقاطی که مسواک بهسختی میرسد، احتمال ایجاد پوسیدگی را بالا میبرد.
-
مصرفکنندگان سیگار و داروهای خاص: سیگار ترشح بزاق را کاهش میدهد و برخی داروها نیز موجب خشکی دهان میشوند که هر دو از عوامل مهم عوامل خطر پوسیدگی دندان هستند.
اگر در یکی از این گروهها قرار دارید، مراقبتهای دهانی را با دقت بیشتری انجام دهید تا از بروز دندان خراب جلوگیری شود.
دندان خراب خاص: عقل و جلو
برخی از دندانها بیش از بقیه در معرض پوسیدگی و آسیب قرار دارند و نقش مهمی در سلامت دهان و زیبایی دارند. دو مورد مهم از این دندانها، دندان عقل خراب و دندان جلو پوسیده هستند که توجه ویژهای میطلبند:
-
چرا دندان عقل بیشتر خراب میشود؟
موقعیت انتهایی دندان عقل در دهان باعث میشود دسترسی مسواک و نخ دندان به آن دشوار باشد. همین موضوع باعث تجمع پلاک و باکتری و افزایش احتمال پوسیدگی دندان عقل میشود. علاوهبر این، نهفته بودن یا نیمهنهفته رویش دندان عقل، محیطی مستعد التهاب و عفونت ایجاد میکند و روند پوسیدگی را سرعت میبخشد. اگر دندان عقل خراب بهموقع درمان نشود، ممکن است نیاز به عصبکشی یا کشیدن آن باشد. -
پوسیدگی دندان جلو و تأثیر آن بر زیبایی لبخند
هرچند دندانهای جلو کمتر دچار پوسیدگی میشوند، اما در صورت آسیبدیدگی، اثر قابلتوجهی بر زیبایی لبخند دارند. تغییر رنگ، شکستگی یا حفرههای کوچک در این دندانها بهسرعت جلب توجه میکند و اعتمادبهنفس فرد را کاهش میدهد. درمان بهموقع دندان جلو پوسیده با ترمیم، کامپوزیت یا روکش سرامیکی میتواند علاوهبر حفظ عملکرد، زیبایی لبخند را نیز بازگرداند.
توجه به بهداشت دهان و مراجعات منظم دندانپزشکی نقش مهمی در پیشگیری و درمان این دو نوع دندان خراب دارد و از بروز مشکلات جدیتر جلوگیری میکند.
دندان خراب چه تأثیری بر سایر دندانها دارد؟
وجود دندان خراب میتواند زنجیرهای از پیامدهای مکانیکی و بیولوژیک در دهان ایجاد کند و سلامت دندانهای مجاور را تهدید کند. مهمترین اثرات عبارتاند از:
-
انتقال فشار: اختلال در الگوی جویدن، توزیع نامتقارن نیرو و ایجاد ترکهای مویی یا ساییدگی زودرس در دندانهای کناری.
-
تغییر نظم دندانی: ایجاد فاصله یا چرخش دندانهای مجاور، جابجایی دندانها به سمت فضای خالی و برهمخوردن اکلوژن که میتواند به درد مفصل فکی هم منجر شود.
-
افزایش خطر عفونت: تبدیل ناحیهٔ درگیر به مخزن باکتری؛ گسترش عفونت دهان به لثه و دندانهای کناری، بوی بد و احتمال آبسه.
-
تحلیل استخوان فک: التهاب مزمن یا بیدندانی موضعی موجب تحلیل استخوان در ناحیه میشود و درمانهای بعدی (مانند ایمپلنت) را دشوارتر میکند.
تشخیص و درمان بهموقع دندان خراب از بروز این پیامدها پیشگیری میکند و هزینه و زمان درمانهای بعدی را بهطور چشمگیری کاهش میدهد.
چه زمانی دندان خراب نیاز به مراجعه فوری دارد؟
اگر هرکدام از نشانههای زیر را دارید، دندان خراب شما به ویزیت فوری نیاز دارد:
-
درد شبانه شدید و ضرباندار که با مسکن بهطور کافی کاهش نمییابد.
-
تورم لثه یا صورت همراه تب و احساس ناخوشی عمومی.
-
خروج چرک، طعم بد دهان یا بوی تند از ناحیه دندان.
-
شکستگی وسیع، ترک عمقی یا لقشدن ناگهانی دندان.
-
گسترش التهاب/عفونت به لثه و گونه، سختی در باز کردن دهان یا بلع.
تأخیر در درمان دندان خراب میتواند به آبسه دندانی، انتشار عفونت دهان، از دستدادن دندان و افزایش هزینهها منجر شود. در این شرایط فوراً به دندانپزشک یا اورژانس دندانپزشکی مراجعه کنید و تا زمان ویزیت از گرمکردن موضع، دستکاری حفره و مصرف خودسرانه آنتیبیوتیک پرهیز نمایید.
درمانهای خانگی موقت دندان خراب
وقتی دندان خراب باعث درد شدید یا التهاب میشود و هنوز امکان مراجعه فوری به دندانپزشک ندارید، میتوانید با چند روش ساده و ایمن، درد را بهطور موقت کاهش دهید. این روشها درمان قطعی نیستند، اما میتوانند تا زمان مراجعه به پزشک، شرایط شما را قابلتحملتر کنند.
-
کمپرس سرد روی گونه: استفاده از کمپرس یخ بهمدت ۱۵ دقیقه باعث کاهش التهاب و بیحس شدن موقت ناحیه میشود و درد دندان پوسیده را تا حدی تسکین میدهد.
-
شستوشو با آب نمک ولرم: آب نمک خاصیت ضدباکتریایی دارد و به کاهش تورم و پاکسازی محیط دهان کمک میکند، در نتیجه پیشرفت عفونت را کند میکند.
-
مصرف مسکن با مشورت پزشک: داروهایی مثل ایبوپروفن یا استامینوفن میتوانند درد را کم کنند، اما فقط بهعنوان تسکین موقت کاربرد دارند و جایگزین درمان تخصصی نیستند.
-
پرهیز از غذاهای خیلی گرم یا سرد: این کار از تحریک بیشتر عصب دندان جلوگیری کرده و شدت درد را کاهش میدهد.
توجه:
این روشها فقط برای کنترل موقت درد دندان خراب مفیدند و درمان اصلی همچنان مراجعه به دندانپزشک برای ترمیم، عصبکشی یا سایر روشهای درمانی است. تأخیر در درمان میتواند عوارض جدیتری مثل آبسه یا تحلیل استخوان بهدنبال داشته باشد.
عوارض درمان نکردن دندان خراب
بیتوجهی به دندان خراب فقط به درد یا ظاهر بد ختم نمیشود؛ عواقب درماننکردن آن میتواند سلامت کل بدن را تحتتأثیر قرار دهد. اگر پوسیدگی یا عفونت رها شود، آسیب بهتدریج از سطح دندان فراتر میرود و حتی جان بیمار را تهدید میکند. مهمترین عوارض دندان خراب درماننشده عبارتند از:
-
گسترش عفونت به استخوان فک: عفونت میتواند از ریشه دندان به استخوان برسد و باعث تحلیل یا تخریب آن شود.
-
تحلیل استخوان و تضعیف ساختار فک: از دست رفتن بافت استخوانی موجب شل شدن دندانهای دیگر و کاهش استحکام فک میشود.
-
از دست دادن دندانهای مجاور: باکتریها میتوانند به دندانهای کناری سرایت کرده و باعث پوسیدگی زنجیرهای شوند.
-
آبسه و درد شدید: عفونت درماننشده معمولاً به آبسه، تورم شدید و درد شبانه منجر میشود که نیاز به درمان فوری دارد.
-
عفونت سیستمیک: در موارد پیشرفته، باکتریهای ناشی از دندان پوسیده میتوانند وارد جریان خون شده و باعث عفونتهای خطرناک در قلب، کلیه یا سایر اندامها شوند.
بیتوجهی به درمان، یعنی دادن زمان به باکتریها برای پیشروی. پس اگر علائمی از پوسیدگی، درد یا آبسه دارید، مراجعه بهموقع به دندانپزشک تنها راه جلوگیری از این عوارض جدی است.
اشتباهات رایج بیماران در درمان دندان خراب
در مسیر درمان دندان خراب، بسیاری از بیماران ناخواسته اشتباهاتی مرتکب میشوند که نهتنها روند درمان را سختتر میکند، بلکه باعث پیشرفت پوسیدگی دندان و بروز عوارض جدیتر میشود. اگر این اشتباهات را بشناسید، میتوانید درمان مؤثرتر و کمهزینهتری داشته باشید. مهمترین خطاها عبارتند از:
-
تأخیر در مراجعه به دندانپزشک: بیتوجهی به درد یا لکههای اولیه باعث میشود پوسیدگی به ریشه برسد و درمان پیچیدهتر و گرانتر شود.
-
مصرف خودسرانه آنتیبیوتیک: دارو فقط عفونت را موقتاً آرام میکند و منشأ اصلی مشکل را از بین نمیبرد؛ در نتیجه دندان پوسیده در سکوت پیشرفت میکند.
-
دستکاری دندان پوسیده در خانه: تلاش برای خارج کردن بقایا یا فشار دادن آبسه میتواند عفونت را به بافتهای اطراف یا حتی جریان خون گسترش دهد.
-
مراجعه به افراد غیرمتخصص یا درمانهای خانگی غیرعلمی: درمان نادرست ممکن است ساختار دندان را برای همیشه از بین ببرد و گزینههایی مانند ترمیم دندان یا عصبکشی را بیاثر کند.
شناخت این اشتباهات و پرهیز از آنها، کلید موفقیت در درمان دندان خراب و حفظ سلامت دهان است. اقدام درست در زمان مناسب، میتواند از هزینههای سنگین و عوارض جبرانناپذیر جلوگیری کند.
جمعبندی
اگر هنوز فکر میکنید «دندان خراب خودش خوب میشود»، اشتباه میکنید. واقعیت این است که پوسیدگی نهتنها متوقف نمیشود، بلکه هر روز عمیقتر میشود و از یک لکهی کوچک به عصبکشی، روکش دندان و در نهایت کشیدن کامل دندان میرسد. پس تصمیم درست این است:
-
اگر دندانتان فقط تغییر رنگ یا حساسیت خفیف دارد، همین امروز برای ترمیم دندان و فلورایدتراپی وقت بگیرید تا کار به مراحل بعدی نرسد.
-
اگر درد شدید شبانه، تورم یا خروج چرک دارید، تعلل نکنید؛ این یعنی دندان پوسیده به عصب رسیده و باید فوراً درمان شود تا عفونت گسترش پیدا نکند.
-
اگر دندان از بین رفته یا شکسته است، دیگر راه بازگشتی نیست و باید دربارهی روکش دندان یا ایمپلنت تصمیم بگیرید.
کاری که امروز انجام میدهید تعیین میکند لبخندتان در سالهای آینده چطور باشد. بیتوجهی حتی به یک پوسیدگی دندان ساده، هزینه و درمان چندبرابری برایتان خواهد داشت. پس همین حالا وضعیت دندانهایتان را بررسی کنید و اولین قدم را بردارید؛ درمان زودهنگام همیشه آسانتر، ارزانتر و موفقتر است.
سوالات پرتکرار درباره دندان خراب
از کجا بفهمم دندانم خراب شده؟
نشانههای اولیه دندان خراب شامل لکههای سفید یا قهوهای، حساسیت دندانی به سرما و شیرینی، بوی بد دهان و درد هنگام جویدن است. معاینه دورهای و عکس رادیوگرافی بهترین راه برای تشخیص زودهنگام پوسیدگی دندان هستند.
آیا دندان خراب قابل ترمیم است؟
بله، در مراحل اولیه میتوان با فلورایدتراپی یا پرکردن، دندان را نجات داد. اگر پوسیدگی به عصب برسد، عصبکشی و در موارد شدیدتر روکش یا ایمپلنت دندان لازم میشود. درمان سریع، احتمال حفظ دندان را افزایش میدهد.
هزینه ترمیم دندان خراب چقدر است؟
هزینه درمان بسته به روش انتخابی متفاوت است: پرکردن حدود ۳ تا ۴ میلیون تومان، عصبکشی بین ۳ تا ۶ میلیون تومان، روکش تمامسرامیک حدود ۹ میلیون و ایمپلنت با روکش حدود ۱۴ میلیون تومان هزینه دارد.
آیا دندان خراب باعث بوی بد دهان میشود؟
بله، تجمع پلاک باکتریایی و عفونت در دندان پوسیده میتواند بوی نامطبوع دهان ایجاد کند. درمان بهموقع و رعایت بهداشت دهان، بهترین روش برای از بین بردن این بو است.
آیا پوسیدگی دندان به بقیه دندانها سرایت میکند؟
خود پوسیدگی مستقیماً منتقل نمیشود، اما باکتریهای ایجادکننده آن میتوانند به دندانهای مجاور منتقل شده و باعث ایجاد حفره دندانی در آنها شوند. درمان سریع دندان خراب و رعایت بهداشت دهان از این اتفاق جلوگیری میکند.
اگر دندان خراب را درمان نکنم چه میشود؟
بیتوجهی به درمان میتواند منجر به آبسه دندانی، گسترش عفونت به لثه و استخوان فک، از دستدادن دندان و حتی انتشار عفونت به سایر بخشهای بدن شود. درمان سریع از عوارض جدی جلوگیری میکند.
آیا دندان جلو پوسیده هم قابل ترمیم است؟
بله، دندان جلو پوسیده با روشهایی مثل ترمیم کامپوزیت، روکش سرامیکی یا لامینت قابل درمان است. این درمانها علاوهبر سلامت دندان، زیبایی لبخند را نیز بازمیگردانند.
چه مدت بعد از عصبکشی میتوان غذا خورد؟
معمولاً پس از ۲۴ ساعت میتوان از سمت درمانشده استفاده کرد، اما بهتر است تا زمان نصب روکش دندان از جویدن مواد سفت با آن ناحیه خودداری شود تا ترک یا شکستگی ایجاد نشود.











